予約・お問い合わせ
診療時間:9:00~13:00 / 15:00~19:00※木曜、金曜、土曜の診療は17:30まで※火曜、日祝休診※ご来院当日の施術はお電話にてご相談下さい。
診療時間:9:00~13:00 / 15:00~19:00※火曜、日祝休診※セレック受付は18時まで※ご来院当日の施術はお電話にてご相談下さい。
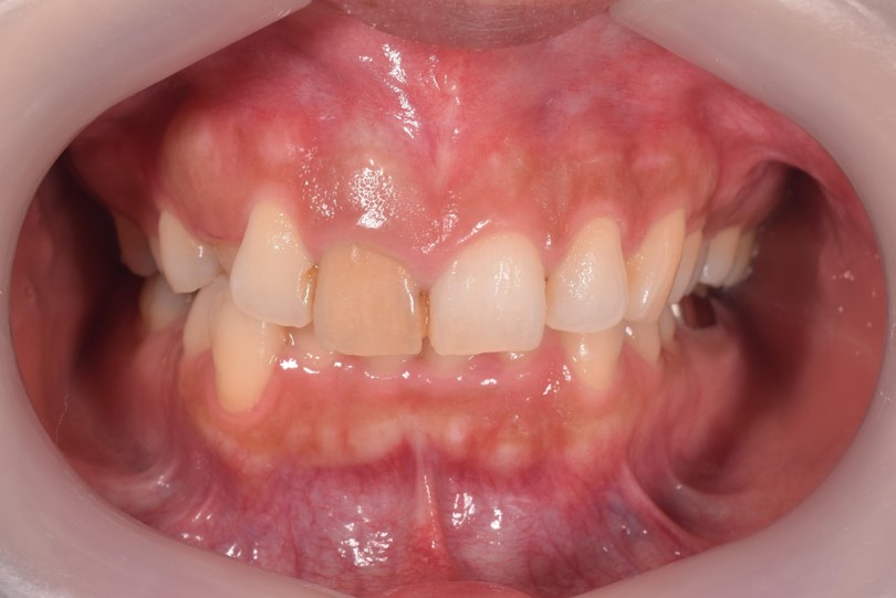
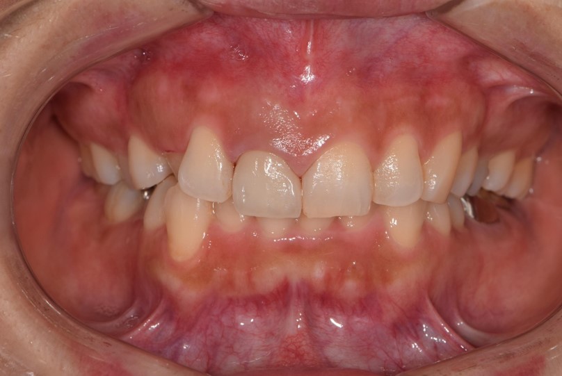
歯の色調がどうしても出せない場合、褪せてしまった歯を透明感のある歯に被せ物でよみがえらせる処置があります。
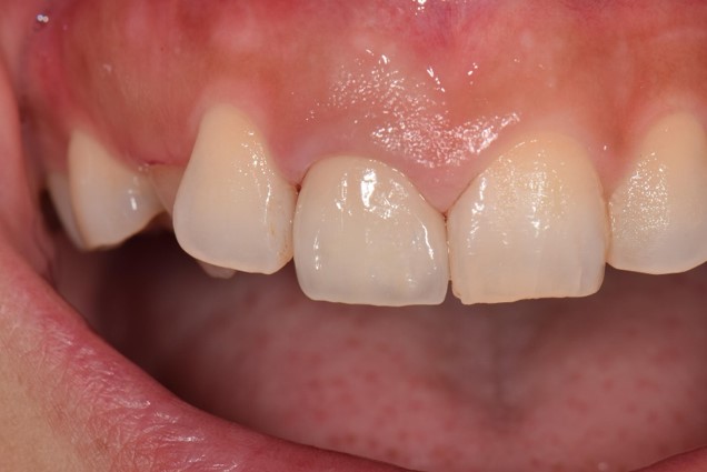
拡大した様子はこちら