審美歯科治療の症例
被せ物のバランス、かみ合わせが悪く、被せ物が脱落した症例
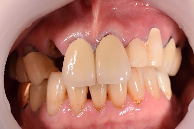
被せ物のバランスが悪く、かみ合わせの状態も悪い為、被せ物が脱落した症例です。
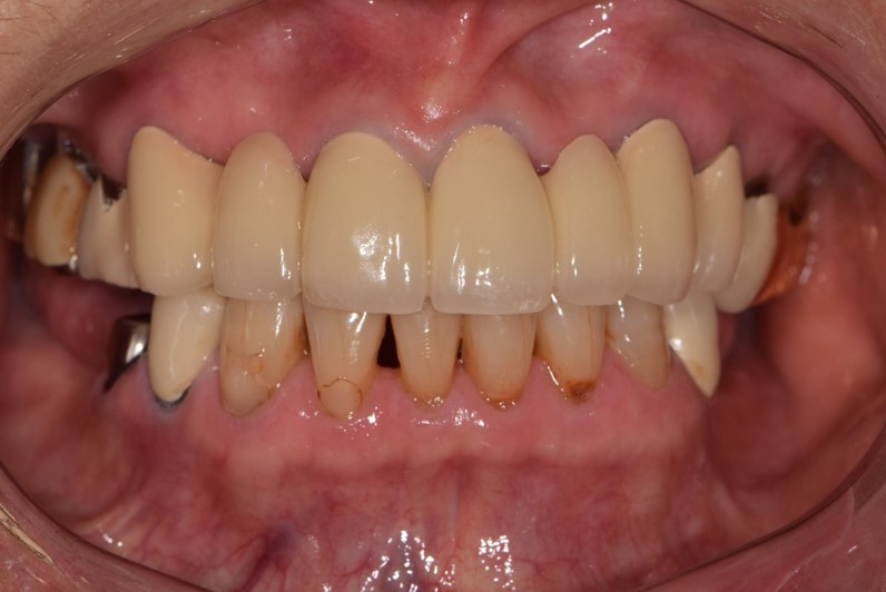
前歯のかみ合わせの調和を図るため前歯を自費診療にてやり替えました。
治療期間:1年
費用:78万
リスク:
残っている歯が少ない場合は抜歯になる可能性もある。
治療前

治療後

被せ物のバランスが悪く、かみ合わせの状態も悪い為、被せ物が脱落した症例です。
前歯のかみ合わせの調和を図るため前歯を自費診療にてやり替えました。
治療期間:1年
費用:78万
リスク:
残っている歯が少ない場合は抜歯になる可能性もある。

