2025/04/22
マイクロスコープ治療
KK2227様



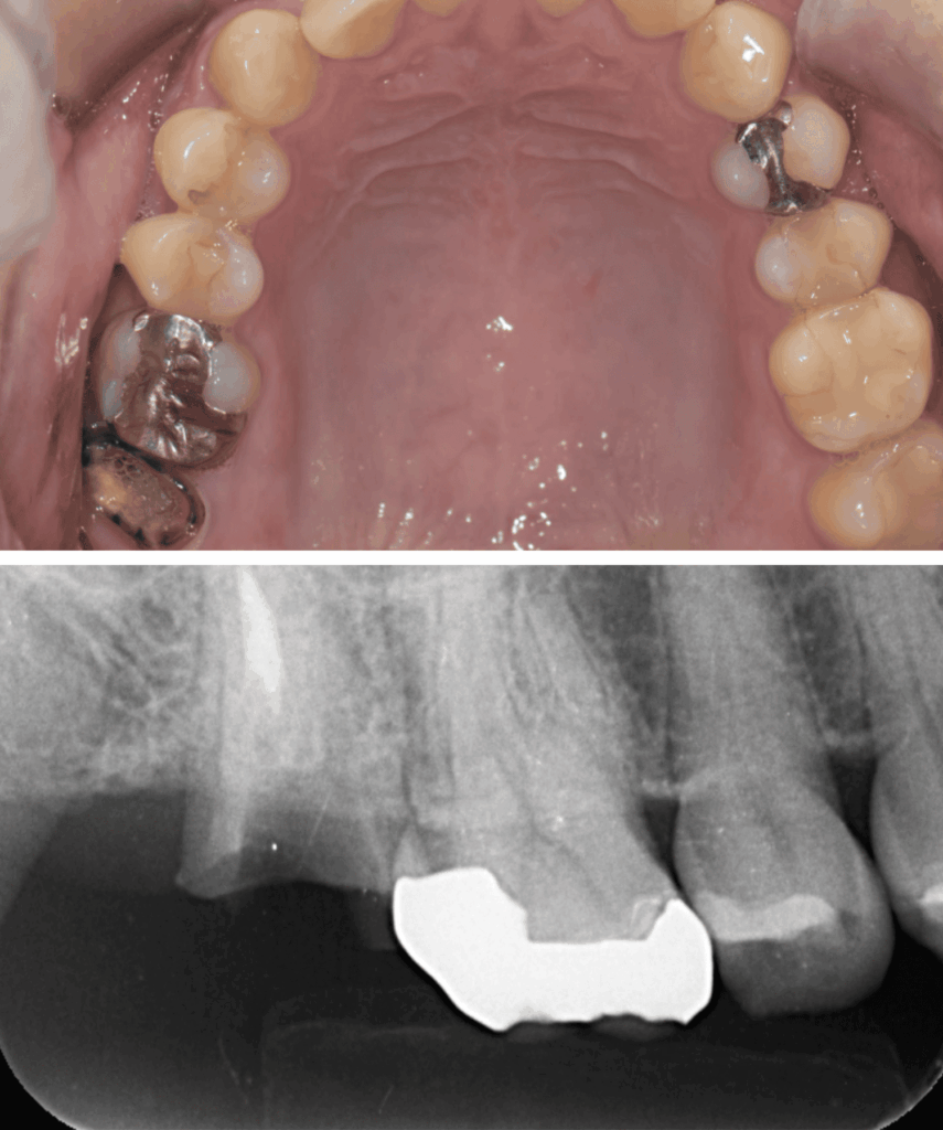
歯と歯の間のう蝕の為肉眼では分かりにくく、気づいた時には歯髄に近接し、保険治療では抜髄(神経を除くこと)になってしまうケースが多い。そのため処置前に、十分な精査と、患者さんが神経を残したいという希望の有無をしっかり相談・説明することが重要と考えています。

歯髄を温存し症状が出ないか1か月経過観察のためCRにて修復
お口の写真で青の部分があるのは、視覚的に保護剤と自分の歯がわかりやすいように区別するため一次的に青のCRを用いた

| 通院時年齢 | 55 | ||||||||||
|---|---|---|---|---|---|---|---|---|---|---|---|
| 性別 | 男性 | ||||||||||
| 通院目的 | 右上の歯が取れた | ||||||||||
| 診断 | ①右上7根尖性歯周炎 ②重度う蝕 ③左上7歯髄に近接するステージ3のう蝕 |
||||||||||
| 処置内容 (または主訴) | ①マイクロスコープによる根管治療 ②マイクロスコープによるう蝕除去およびセラミック修復 ③MTAを用いたマイクロスコープによる歯髄温存療法からセレック修復 |
||||||||||
| 通院期間 | 半年 | ||||||||||
| 費用 |
|
||||||||||
| リスク・副作用 |
|