2025/04/22
ホワイトニング
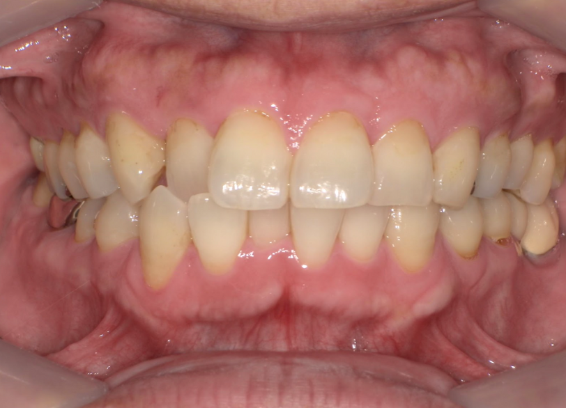
KK2227様

| 通院時年齢 | 55歳 | ||
|---|---|---|---|
| 性別 | 男性 | ||
| 通院目的 | 歯を白くしたい | ||
| 診断 | 歯の色がA4程度 | ||
| 処置内容 (または主訴) | ホワイトニング | ||
| 通院期間 | 2か月 | ||
| 費用 |
|
||
| リスク・副作用 |
|