2025/04/22
小児矯正
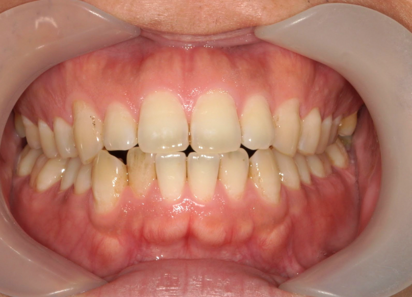
KM2253様



この効果により鼻詰まりが減り、インフルエンザや風邪症状を発症しづらくなりました。





| 通院時年齢 | 8歳 | ||||
|---|---|---|---|---|---|
| 性別 | 女性 | ||||
| 通院目的 | 歯並びが気になる | ||||
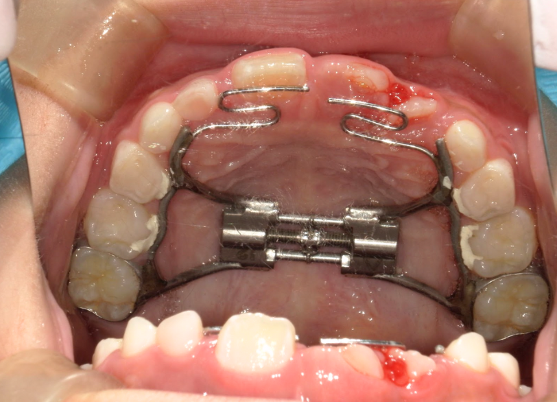
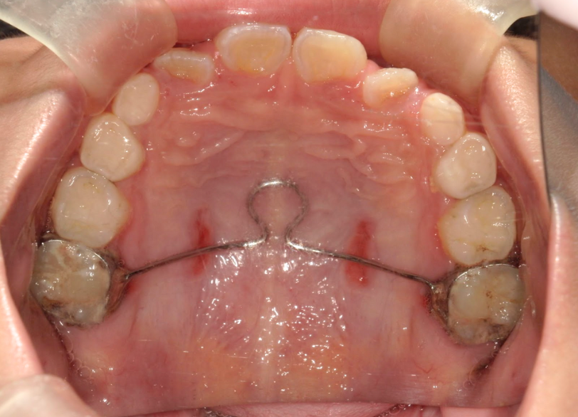
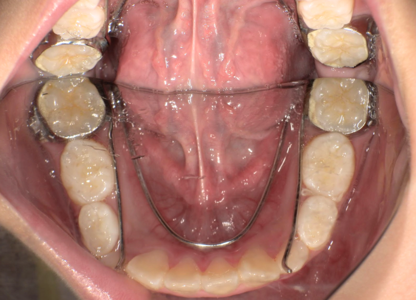
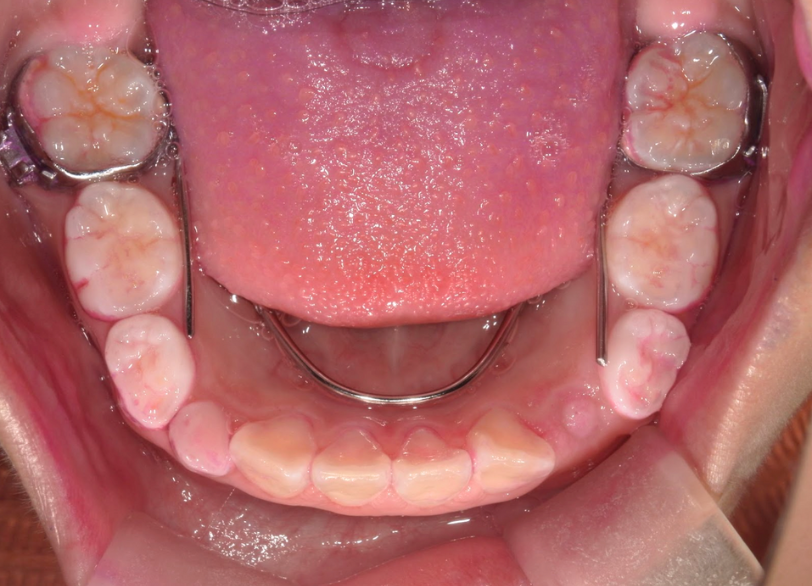
| 診断 | ①下顎前突を伴う ②上顎歯列叢生 |
||||
| 処置内容 (または主訴) | ①ムーシールドを用いた下顎前突の改善 ②急速拡大を用いた上顎歯列・リンガルアーチを用いた下顎歯列の叢生改善 |
||||
| 通院期間 | 5年 | ||||
| 費用 |
|
||||
| リスク・副作用 |
|