2025/04/22 セレック

OS1457様

術中銀歯を除いた状態
う蝕を除き切った状態
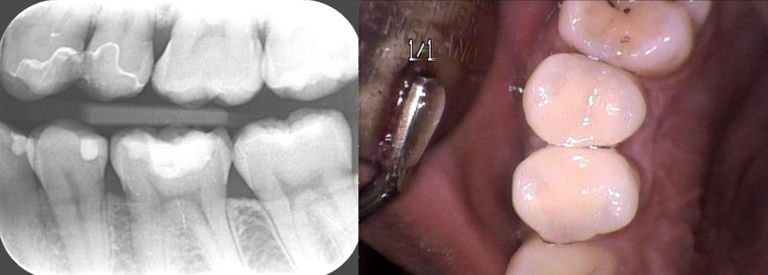
術後のレントゲン
通院時年齢 41歳
性別 男性
通院目的 虫歯が気になる
診断 左上45う蝕
処置内容 (または主訴) セレックインレー
通院期間 3回(2か月)
費用
セレックインレー 77,000円×2
リスク・副作用
研磨や調整が難しく定期的なメンテナンスが必要になることがある、自由診療となるため費用が高額となる ジルコニアに比べ天然歯に近い分、破折のリスクがある かみ合わせの変化により適宜調整を必要とする 知覚過敏の出現の可能性がある