2025/04/22 咬合診断

OT1826様

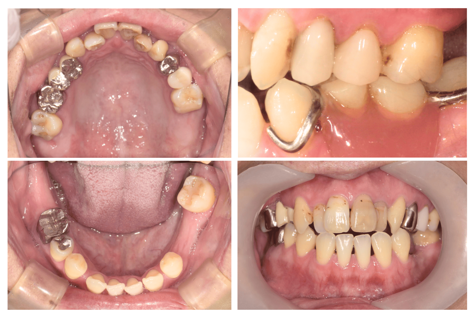
咬合診断模型

咬合診断の結果より現在奥歯でしか歯がかみ合っておらず、どこの歯がどのようにあたっているのか不明確な状態だったため、模型上でどこをどう削れば咬みやすくなるのか、模型上でのシュミレーションを行い必要最小限の介入でかみ合わせの改善を行った。
左の奥歯が一番最初にあたってしまい、口が閉じられない状況が診断で分かったため
下のようにかみ合うように削合を行った。

本来は矯正治療によるかみ合わせの改善が求められるが金銭的な影響から咬合診断で害になるかみ合わせを補正した
左側の歯の削合により右側の咬合を獲得できた
治療経過(咬合診断の結果を患者さんの口腔内に落とし込みかみ合わせの補正を行いながら虫歯治療や入れ歯治療を行った)
歯周病治療も行い現在は安定し定期的メンテナンスの移行中

術前レントゲン

咬合診断を行い不要な歯の抜歯を行い歯周治療・虫歯治療・かみ合わせ治療後のレントゲン

右下は現在症状・動揺・歯周ポケットももないためこのまま保存し、抜歯になっても義歯を修理できる状態にしている。
今回の治療を行うことで歯ブラシのしやすさ、かみ合わせの偏り、歯への無駄な負荷が改善され長期的に多くの歯が保存されるようになった。

通院時年齢 36
性別 男性
通院目的 前歯で物が噛めないがどこの歯医者でも治せないと言われた
診断 下顎劣成長による開咬 小下顎症(骨格性2級1類)
処置内容 (または主訴) 根本治療はSSROを伴う矯正治療だが 咬合診断を下にする咬合高径の低下
通院期間 1年
費用
咬合診断 275,000円
リスク・副作用
症例によって治療法は大きく異なるため費用は根本治療を行う場合矯正治療など長期に及ぶ治療になる恐れがある。