2025/04/22
セレック
SY1443様

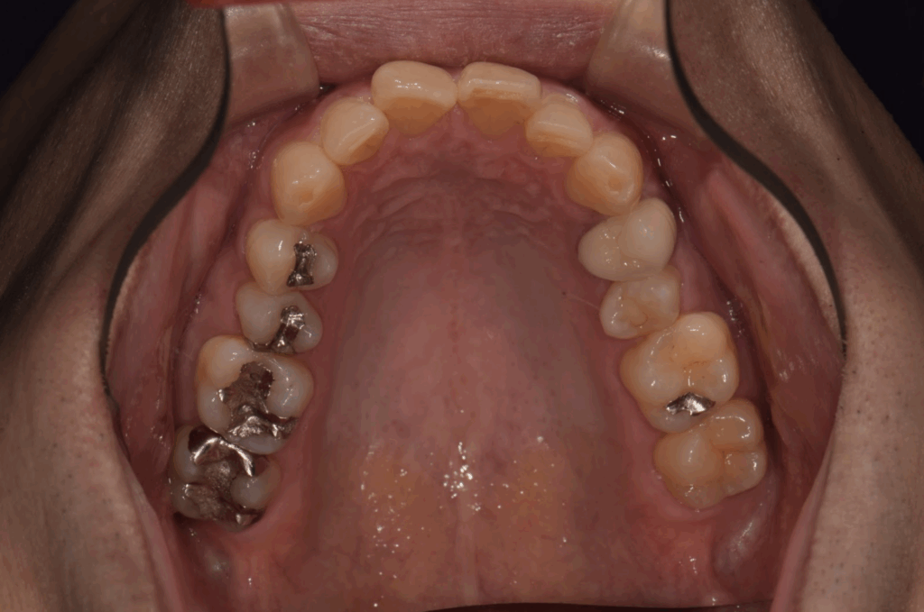
術前 右上7の銀歯

術後 右上7の銀歯がセラミックに置き換わっている(1.5時間で銀歯の除去からセラミック装着まで完了)

歯と歯の間にもう蝕があり2本同時に1日で銀歯除去からセレック置き換え治療を行った

| 通院時年齢 | 47歳 | ||
|---|---|---|---|
| 性別 | 男性 | ||
| 通院目的 | 銀歯を白くしたい | ||
| 診断 | 銀歯による不適からきたう蝕 | ||
| 処置内容 (または主訴) | セレック治療 | ||
| 通院期間 | 1歯1日(しっかりとした健康な歯肉の状態にまずはしてからの治療になります) | ||
| 費用 |
|
||
| リスク・副作用 |
|