2025/04/22 移植

SY2662様

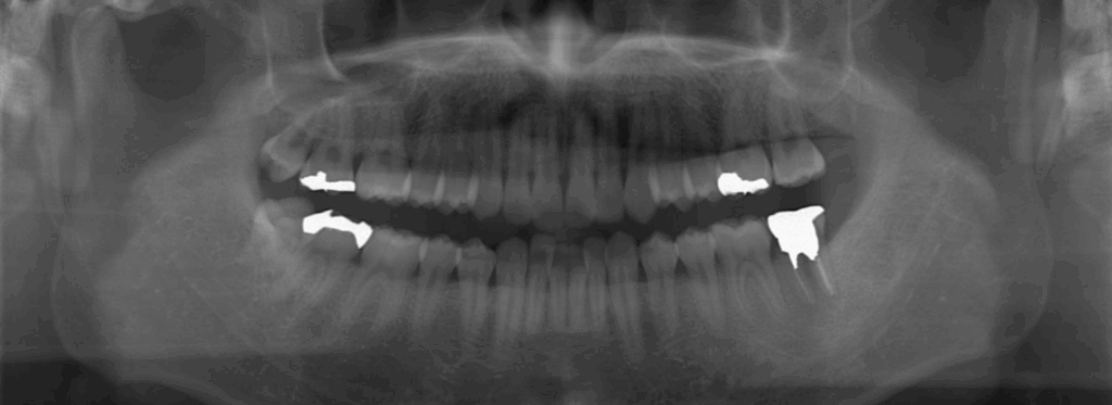
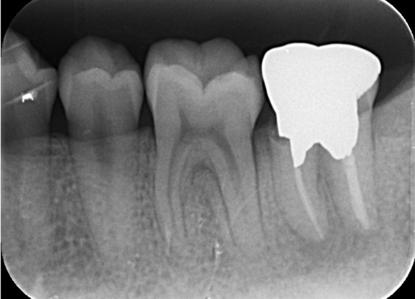
術前レントゲン写真

左下7の歯根破折を伴う重度歯周炎
CTにて根尖性歯周炎の併発も確認
術前 移植に際してレントゲンではCT程の情報量がなくそもそも抜歯適応なのか判断に苦慮する
お口の状態を確認する前から、移植はできますか?といったお電話もありますが、詳しく見ていない状態ではご説明ができませんので、そういったお電話は差し控えていただきますようお願い申し上げます。
また、移植希望で来られる際に、費用が高いのであれば最初から相談しなかったなどもクレームをいただくことがございます。
移植は保険適応症例もございますが、詳しく検査を行いこちらとしても費用が安く済む方法でよろしければご提案します。
しかし、必要な検査、必要な材料を用いずに処置を行うことが患者さんにとって世利用予後が提供できない場合もありますので、症例に応じた治療プランをご案内します。
診査診断費用のお支払いも気にされる方は、移植に対する難易度をご理解いただけないようですので、治療方法としてお勧めしません。
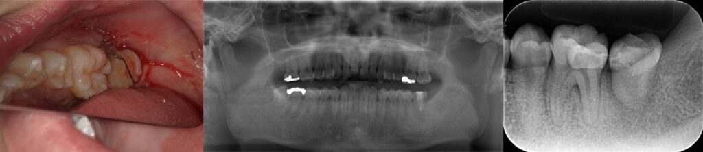
移植歯に対するエムドゲイン塗布および形状確認(抜歯時に破折してないかなど)
右上8を左下7へ移植完了
この後、根管治療、治療に必要な神経開口部の被覆を行いました(経過2年の状態は良好)
通院時年齢 25歳
性別 男性
通院目的 抜歯と言われたが移植ができないか
6件の歯科医院で相談したが断られた
診断 重度う蝕による抜歯
処置内容 (または主訴) 移植
通院期間 1年
費用
術前CT相談 22,000円
移植手術 77,000円
エムドゲイン 66,000円
マイクロスコープによる根管治療 49,000円
被せ物 5,500円
リスク・副作用
移植は適応になる歯が必要 
移植において抜く側の骨の量が必要
移植歯の歯根膜の量が必要
エムドゲインや移植用ガイドシステム、移植歯のレプリカ作成、その後の根管治療費用、被せ物の費用を合わせるとインプラント治療に匹敵する治療費になることがある。
抜歯される歯の状態や移植歯の状態で費用が大幅に変わる