大人になってからでもすきっ歯は矯正できる?治療法や期間、費用も
こんにちは。渋谷区本町、京王線「幡ヶ谷駅」より徒歩10分にある歯医者「エンドウ歯科医院」です。

すきっ歯であることにコンプレックスを抱え、思うように笑えない方もいるかもしれません。すきっ歯は、見た目の問題だけでなく、虫歯や歯周病のリスクを高める原因にもなります。
この記事では、大人になってからでもできるすきっ歯の矯正方法や治療期間、費用などについて解説します。すきっ歯にお悩みの方は、ぜひ参考にしてください。
見出し
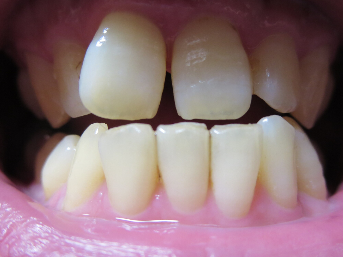
すきっ歯とは

すきっ歯は、歯と歯の間にすき間がある状態のことです。専門的には空隙歯列(くうげきしれつ)といいます。その中でも、上の前歯の間にすき間がある状態を正中離開(せいちゅうりかい)といい、口元の印象に大きな影響を与えます。
すきっ歯は、見た目だけではなく、発音や噛み合わせ、清掃のしやすさにも関わってくるため、放置するとさまざまなトラブルを引き起こすことがあります。
子どものうちに矯正する方が多いですが、社会人になってから気になり始めて矯正を考えたという方も多く見られます。成長期の子どもと比べると歯の動きはゆっくりになる傾向がありますが、十分な時間をかければ美しい歯並びを目指すことができます。
最近では目立ちづらい装置も選択できるようになっており、社会生活への影響を最小限にしながら治療を進められるようになっています。
すきっ歯の原因

すきっ歯にはいくつかの原因があります。ここでは、すきっ歯の主な原因について解説します。
遺伝的な要因
すきっ歯の原因の1つに、歯の大きさと顎の大きさのアンバランスが挙げられます。歯が小さすぎる、もしくは顎が大きすぎる場合、歯と歯の間にすき間が生じやすくなります。このような特性は遺伝することも多く、家族にすきっ歯の方がいる場合は同じような歯列になる傾向があります。
指しゃぶりなどの癖
指しゃぶりや舌で前歯を押す癖(舌癖)など、幼少期から続く口腔習癖もすきっ歯の原因になります。長期間にわたるこれらの癖は歯に不自然な力を加えるため、徐々に歯が移動してすき間が生じることがあるのです。
これらの癖が残っていると隙間ができることがあります。そのため、癖の改善と併せて矯正治療を進めることが大切です。
上唇小帯の異常
上唇小帯とは、上唇の裏側と歯ぐきをつなぐ筋のような組織です。通常は細く短いため上顎の前歯の間に影響を与えることはありませんが、この上唇小帯が太く長く前歯の隙間まで伸びている場合、歯と歯の間にすき間ができやすくなります。
この状態を放置すると、前歯が自然に閉じるのが難しくなり結果としてすきっ歯になることがあります。
すきっ歯を放置するリスク

すきっ歯を放置すると、様々なリスクを伴います。
まず、歯と歯の間にすき間があると、食べ物がはさまりやすくなります。これにより虫歯や歯周病のリスクが高まるだけではなく、口臭の原因にもなります。また、噛み合わせが不安定になることで特定の歯に負担がかかり、歯の摩耗や破折を引き起こす可能性もあります。
また、発音への影響も見逃せません。前歯のすき間が大きいとサ行やタ行などの発音が不明瞭になり、会話の際に聞き取りづらく感じられることがあります。さらに、噛み合わせの異常により顎関節症を引き起こす可能性もあり、頭痛や肩こりの原因になることもあります。
すきっ歯をコンプレックスに感じている方にとっては、笑顔に自信が持てずに人前で口を開けることを避けるなど、心理的な影響も大きくなります。こうした問題を予防・改善するためにも、すきっ歯は放置せずに適切に治療することが大切です。
大人がすきっ歯を矯正する方法

大人がすきっ歯を矯正する方法は大きく、ワイヤー矯正とマウスピース矯正に分けられます。ここでは、それぞれの特徴やメリット・デメリットを詳しく解説します。
なお、前歯だけなど一部分だけを矯正する部分矯正と、歯列全体を矯正する全体矯正にも分けられます。部分矯正と全体矯正では治療期間や費用などが異なりますので、歯科医師と相談したうえでご自身に合う治療法を選びましょう。
ワイヤー矯正
ワイヤー矯正は、金属製のブラケットを歯に装着し、そこにワイヤーを通して歯を徐々に動かしていく方法です。長い歴史がありさまざまな症例に対応できる治療法で、確実性の高い方法として支持されています。
装置を取り付ける場所によって、表側矯正、裏側矯正、ハーフリンガル矯正の3つに分けられます。
表側矯正
表側矯正は、歯の表面にブラケットを装着し、そこにワイヤーを通して歯を少しずつ動かしていく矯正方法です。最もオーソドックスなワイヤー矯正であり、幅広い症例に対応できます。歯の表側に装置がつくため、目立ちやすいのがデメリットです。
しかし、近年ではセラミックブラケットなどの目立ちにくいものも開発されているため、見た目が気になる方の負担も軽減できます。
裏側矯正(リンガル矯正)
裏側矯正は、歯の裏側(舌側)にブラケットとワイヤーを装着して歯を動かす方法です。表側矯正と同じく、幅広い症例に対応可能です。裏側矯正の大きな特徴は、装置が外からほとんど見えないことです。仕事などで人前に出る機会が多い方にとって、審美性を保ちながら治療できる点は大きな魅力といえるでしょう。
ただし、裏側矯正は歯の裏側に装置をつけるため、発音に影響が出やすく、装置が舌に当たりやすいことから慣れるまで違和感を覚える方も少なくありません。また、装置の構造が複雑で高度な技術を要するため、費用が高額になる傾向があります。
ハーフリンガル矯正
ハーフリンガル矯正は、目立ちやすい上の歯には裏側矯正を、下の歯には表側矯正を施す方法です。見た目と費用のバランスを重視したい人に選ばれる傾向があります。
マウスピース矯正
マウスピース矯正は、透明なプラスチック製のマウスピースを装着して、少しずつ歯を動かしていく矯正方法です。見た目が自然で目立ちにくく、周囲に気づかれにくい点が大きな魅力です。仕事で人前に出る機会が多い方や、矯正中であることを知られたくない方に人気があります。
マウスピースは取り外しが可能なため、食事や歯磨きが普段どおりにでき、口腔内を清潔に保ちやすいというメリットもあります。一方で、計画通りに歯を動かすためには、1日20〜22時間程度マウスピースを装着する必要があります。このため、自己管理が重要な治療法といえます。
軽度〜中等度のすきっ歯であればマウスピース矯正で十分に対応できるケースも多く、近年では特に人気が高まっています。
大人がすきっ歯を矯正するのにかかる期間

大人のすきっ歯矯正にかかる期間は、歯のすき間の大きさや原因、歯の動きやすさなどによって異なります。小さなすき間であれば3〜6か月ほどで改善できるケースもありますが、全体的な歯列調整を行う場合は1〜2年を要することも考えられます。
大人が矯正する場合、歯の移動速度が遅くなる傾向があるため、治療期間は子どもに比べて長くなるケースが多いです。また、マウスピース矯正では、装置の装着時間が治療の進行に影響するため、計画通りに進めることがスムーズな治療には欠かせません。
矯正治療中は歯周組織の健康も重要なポイントとなるため、歯科医院での定期的なチェックやメンテナンスも継続する必要があります。
大人がすきっ歯を矯正するのにかかる費用

大人のすきっ歯矯正にかかる費用は、治療方法や症状の程度によって大きく異なります。おおよその相場は、以下の通りです。
- 表側矯正:30万円~100万円程度
- 裏側矯正:50万円~150万円程度
- ハーフリンガル矯正:40万円~130万円程度
- マウスピース矯正:60万円〜120万円程度
矯正治療は基本的に自費診療となるため、歯科医院によって価格差がある点には注意が必要です。また、初診時は精密検査や診断料が別途かかることもあります。
実際にかかる総額を把握するためには、無料相談やカウンセリングを活用して見積もりを確認することが重要です。
まとめ

すきっ歯は大人になってからでも矯正できます。ワイヤー矯正やマウスピース矯正など、現在では目立ちにくく快適な治療法も増えており、ライフスタイルに合わせた選択が可能です。
ただし、治療には時間と費用がかかるため、信頼できる歯科医師としっかり相談して自分に合ったプランを立てることが大切です。すきっ歯が気になっている方は、まずは気軽にカウンセリングを受けてみてはいかがでしょうか。
すきっ歯の矯正を検討されている方は、渋谷区本町、京王線「幡ヶ谷駅」より徒歩10分にある歯医者「エンドウ歯科医院」にお気軽にご相談ください。
当院は「一人ひとりに合った治療計画で歯を守ること」を意識して診療にあたっています。診療案内ページはこちら、ご予約も受け付けておりますので、ぜひご覧ください。