出っ歯は放置NG!?ワイヤー矯正での治療法・費用・期間を解説
こんにちは。渋谷区本町、京王線「幡ヶ谷駅」より徒歩10分にある歯医者「エンドウ歯科医院」です。

上の前歯が前に出ていることで「人前で笑うのが恥ずかしい」と感じていませんか。実は、出っ歯は見た目の問題だけでなく、放置することで口腔内の健康にも悪影響を及ぼす可能性があるため、早めの治療が推奨されます。
この記事では、出っ歯の定義からワイヤー矯正による治療法、具体的に必要となる費用や治療期間まで解説します。出っ歯の治療について正しい知識を身につけ、自分に合った治療方法を見つけられるよう参考にしてください。
目次
出っ歯とは

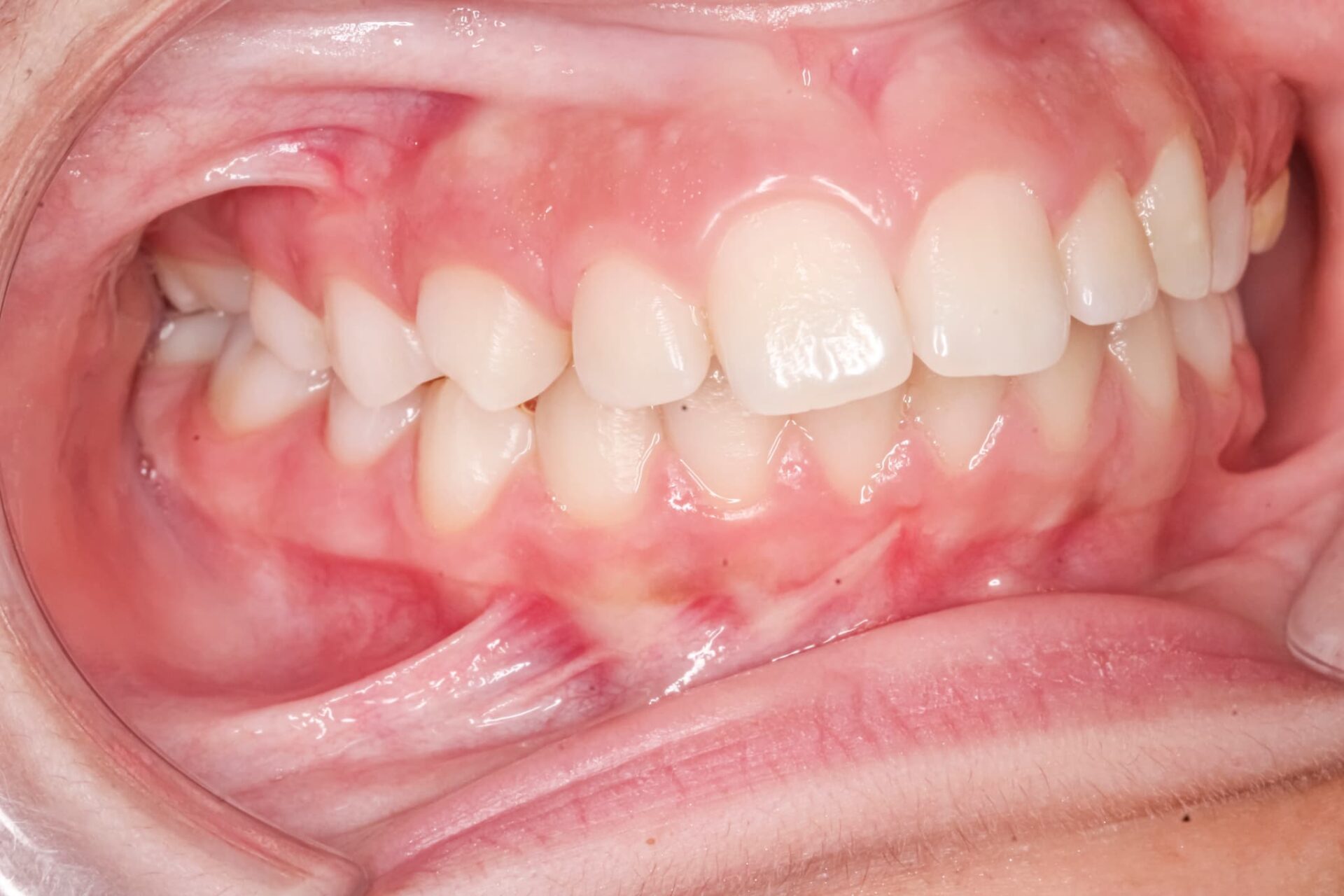
上の前歯は、下の前歯より2〜3mmほど前に出ているのが理想的な状態です。
出っ歯は専門的には上顎前突と呼ばれる不正咬合の一つで、上の前歯や上顎そのものがこれを大きく超えて前方に突出しています。横から顔を見たときに上唇が前へ出て見える、口を閉じにくい、前歯で食べ物を噛み切りにくいといった症状が見られ、口呼吸の原因になることもあります。
出っ歯の種類
出っ歯には、大きく分けて歯性と骨格性の2つのタイプが存在します。
歯性の出っ歯は、顎の骨格自体には問題がなく、歯の生える位置や角度に問題があり生じる出っ歯です。骨格性の出っ歯は上顎の骨自体が前方に成長しすぎていたり、下顎の成長が不足していたりすることで生じる出っ歯です。
出っ歯の原因
出っ歯の原因は、大きく分けて遺伝的な要因と環境的な要因に分けられます。顎の骨格や歯の大きさは遺伝することがあり、家族に出っ歯の方がいる場合は同じ傾向が現れやすくなります。
一方で、幼少期の癖や生活習慣も影響を与える要因です。指しゃぶりや舌を前に押し出す癖、口呼吸などが長期間続くと、前歯に持続的な力が加わり、出っ歯を引き起こす原因となることがあります。
出っ歯はワイヤー矯正で治療できる?

ワイヤー矯正は、出っ歯の治療に多く用いられています。ここでは、ワイヤー矯正の仕組みと出っ歯への適応について紹介します。
ワイヤー矯正の基本的な仕組み
ワイヤー矯正は、歯科矯正の中でも長い歴史を持つ治療法です。歯の表面に装着したブラケットと呼ばれる小さな装置にワイヤーを通し、歯に継続的な力をかけることで少しずつ理想的な位置へと移動させていきます。
治療の進行に応じて細かな調整ができ、複雑な歯の動きにも柔軟に対応できる調整力の高さから、さまざまな不正咬合の治療に用いられています。
歯性の出っ歯への適応
軽度から中等度の歯性の出っ歯であれば、ワイヤー矯正のみで十分に対応できるケースも珍しくありません。前歯を後方へ移動させるだけでなく、奥歯との噛み合わせも整えられるため、調和の取れた歯並びを目指せます。
ただし、歯を並べるためのスペースが不足している場合や、前歯を大きく後ろへ移動させる必要があると判断された場合は、スペースを作るための抜歯が必要になることがあります。抜歯を行うかどうかは、精密検査や診断を踏まえたうえで慎重に決定されます。
骨格性の出っ歯への適応
骨格性の出っ歯は、顎の骨格そのものに問題があるため、ワイヤー矯正だけでは十分な改善が難しい場合があります。成長期のお子さまでは、顎の成長を促進または抑制する装置とワイヤー矯正を併用することで、骨格的な改善を目指せるかもしれません。
成人の場合、軽度であれば抜歯とワイヤー矯正を組み合わせることで、外科手術を行わずに改善できるケースもあります。
ただし、重度の骨格性の出っ歯では、顎の骨を整える外科手術とワイヤー矯正を併用する外科的矯正治療が必要になることがあります。
出っ歯を放置するリスク

出っ歯を見た目だけの問題と考え放置していると、口腔内だけでなく全身にもさまざまな悪影響が及ぶことがあります。
口腔内の健康への影響
出っ歯の状態は口が閉じにくく、口腔内が乾燥しやすくなります。唾液には細菌の増殖を抑えたり汚れを洗い流したりする働きがありますが、乾燥が続くとその効果が十分に発揮されません。
そのため、虫歯や歯周病の原因菌が繁殖しやすくなり、発症リスクが高まります。
さらに、前に出ている歯の裏側や歯が重なった部分は歯ブラシが届きにくく、磨き残しが生じやすくなる点も問題です。清掃が不十分な箇所は虫歯や歯周病の温床となり、口腔内の健康を損なう要因となります。
咀嚼機能と消化への影響
出っ歯が原因で前歯同士が十分に噛み合わないと、食べ物を噛み切る力が弱まります。前歯の働きが低下すると奥歯にばかり負担がかかり、摩耗や欠けなどのトラブルが起こる可能性も高まるでしょう。
また、しっかり噛み砕けないまま飲み込むことで胃腸への負担も増加します。大きな塊のまま送られた食べ物は消化しにくく、胃もたれや消化不良を引き起こしやすい状態です。こうした状態が続けば、慢性的な胃腸症状につながることもあります。
顎関節への負担
噛み合わせのバランスが乱れていると、顎の関節やその周囲の筋肉に偏った負荷がかかり、顎関節症を発症するリスクが高まります。顎関節症とは、口を開け閉めする際の痛み、カクカクとした音、口が大きく開かなくなる開口障害などが現れる病気です。
症状が進行すると食事や会話に支障が出ることもあり、顎だけでなく頭痛や肩こり、耳鳴りといった全身症状につながるケースもあるため、早めの対策が欠かせません。
心理的・社会的な影響
出っ歯の見た目による心理的負担も少なくありません。笑顔に自信が持てず、人前で話すことを避けたり、写真撮影を苦手に感じたりすることがあります。
加えて、前歯の位置は発音にも影響します。サ行やタ行などは前歯の使い方が重要で、出っ歯の状態では発音が不明瞭になりがちです。コミュニケーションに支障が出ると、対人関係にも影響を与える可能性があります。
出っ歯をワイヤー矯正で治療する場合の費用

矯正治療を検討する際、費用面の不安を抱える方は少なくありません。ここでは、出っ歯をワイヤー矯正で治療する場合のおおよその費用について紹介します。
ワイヤー矯正の基本的な費用相場
ワイヤー矯正の治療費用は70〜150万円程度が一般的な相場です。この中には検査料、診断料、装置料などが含まれますが、医院によって料金は異なります。
費用相場に幅があるのは、装置の種類や出っ歯の程度、治療期間、抜歯の有無によって費用が変わるためです。軽度の場合は費用を抑えやすく、抜歯が必要となるようなケースでは高くなる傾向があります。
装置の種類による費用の違い
ワイヤー矯正の費用は、選ぶ装置の種類によっても変わります。
もっとも一般的な金属製のブラケットを歯の表側に装着する表側矯正の費用は、70〜90万円ほどです。丈夫で扱いやすいものの、目立ちやすい点がデメリットです。
装置の見た目が気になる方には、歯の色になじむ白い審美ブラケットがありますが、金属よりも10〜20万円ほど高くなる傾向があります。
さらに、矯正装置を目立たせたくない方には、歯の裏側に装置をつける舌側矯正(裏側矯正)という選択肢もあります。外からほとんど見えない点が大きな魅力ですが、技術的に難しく装置も特殊なため、費用は100〜150万円と高額になりやすい治療法です。
装置の種類によって費用は大きく変わるため、それぞれの特徴を踏まえて選ぶことが大切です。
追加でかかる可能性のある費用
基本の矯正費用に加えて、抜歯やその他の処置が必要になる場合があります。例えば、小臼歯を抜歯してスペースを作る場合、1本あたり5,000円〜1万円程度の費用が必要です。
また、矯正前に虫歯や歯周病の治療が必要な場合は、その費用も別途発生します。
さらに、矯正終了後の後戻りを防ぐために使用する保定装置(リテーナー)も2〜5万円程度かかる場合があり、治療計画を立てる際には、これらの費用も考慮しておくことが大切です。
出っ歯をワイヤー矯正で治療する場合の期間

治療期間は患者さまごとに異なりますが、1〜3年ほどが一般的です。軽度の出っ歯であれば1年〜1年半ほどで大きく改善が見られることもありますが、歯を抜いてスペースを作るようなケースでは、歯の移動量が増えるため治療期間が長くなる傾向があります。
矯正治療中の通院は、月に1回ほどのペースで行われることが一般的です。その際、歯の動きに合わせてワイヤーを調整し、治療が計画通りに進むよう管理していきます。矯正は継続的なチェックが欠かせないため、定期的に通院することが治療成功の大きなポイントです。
また、矯正治療が終わった後は、歯が新しい位置にしっかり落ち着くまでの間、リテーナー(保定装置)を使って安定させる必要があります。保定の期間は通常1〜2年ほどで、この間にリテーナーを正しく使わないと、歯が少しずつ元の位置に戻る可能性があります。
まとめ

出っ歯は見た目だけでなく、口腔内の健康や発音、噛み合わせにも関わる不正咬合です。
ワイヤー矯正は幅広い症例に対応でき、出っ歯の改善に適した治療の一つです。治療期間は1〜3年ほどで、費用は装置の種類によって変わりますが、長期的なメリットを考えると検討する価値があるでしょう。
ご自身の出っ歯がどのようなタイプなのか知るためにも、一度矯正相談を受けてみてください。
出っ歯の矯正治療を検討されている方は、渋谷区本町、京王線「幡ヶ谷駅」より徒歩10分にある歯医者「エンドウ歯科医院」にお気軽にご相談ください。
当院は「一人ひとりに合った治療計画で歯を守ること」を意識して診療にあたっています。診療案内ページはこちら、ご予約も受け付けておりますので、ぜひご覧ください。


