治療の症例

2025/04/22 インプラント

SA1186様

通院時年齢 70歳
性別 女性
通院目的 噛んだ時に歯が痛い 折れているのではないか
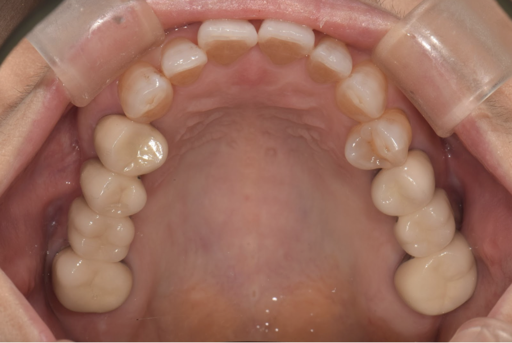
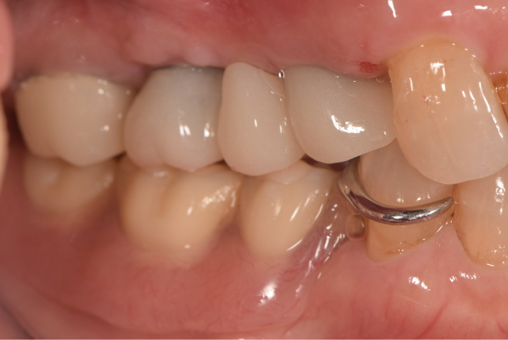
診断 ①下顎両側臼歯欠損
②上顎左側5根尖性歯周炎 
③上顎左側6欠損
④上顎右側4歯根破折
⑤上顎右側567欠損
⑥上顎左側7う蝕
⑦上顎右側7う蝕
処置内容 (または主訴) ①義歯
②顕微鏡を用いた感染根管治療
③インプラント治療
④抜歯→骨造成→インプラント
⑤インプラント治療
⑥セラミックによる被せ物の修復
⑦セラミックによる被せ物の修復
通院期間 3年
費用
①義歯 6,000円(保険請求による)
②顕微鏡を用いた感染根管治療 歯冠・コア除去38,000円
マイクロスコープ治療66,000円
被せ物120,000円
③インプラント治療 インプラント術前検査20,000円
インプラント埋入220,000円
④抜歯→骨造成→インプラント 抜歯10,000円
骨造成110,000円
インプラント埋入220,000円
仮歯・最終被せ物165,000円
⑤インプラント治療 インプラント埋入200,000円
仮歯・最終被せ物(ダミー部)120,000円
仮歯・最終上部被せ物165,000円
⑥セラミックによる被せ物の修復 仮歯10,000円
オールセラミックによる被せ物120,000円
⑦セラミックによる被せ物の修復
リスク・副作用

 義歯の摩擦による痛みが生じる
 義歯の沈み込みによる顎の骨の吸収が生じる
 義歯のばねが合わなくなり引っ掛かりの歯の
 寿命が短くなる
 義歯のひっかけの歯の破折のリスクが上がる。
 義歯のひっかけの歯の歯周病のリスクが上がる

 根尖病床の再発の可能性が少なからず6%ほどある
 歯根破折の可能性がある。
 被せ物がセラミックなので破折する可能性がある
③~⑤
 インプラント周囲炎の可能性があるので定期的
 メンテナンスが必要
 研磨や調整が難しく定期的なメンテナンスが必要になることがある
 自由診療となるため費用が高額になる
⑥⑦
 セラミックの破折および失活歯による歯根破折の可能性