治療の症例
2025/04/22
マイクロスコープ治療
SY1529様
| 通院時年齢 | 53歳 | ||||
|---|---|---|---|---|---|
| 性別 | 男性 | ||||
| 通院目的 | 被せ物が外れた | ||||
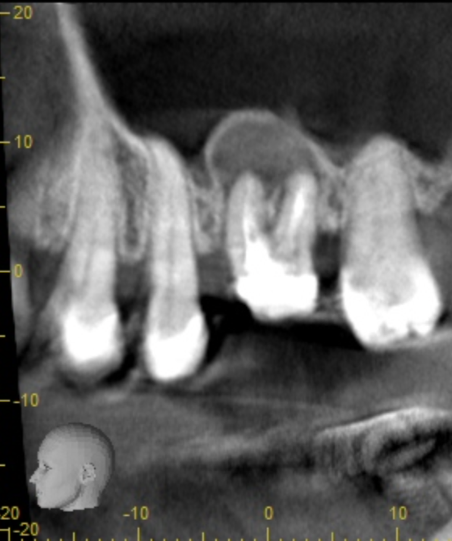
| 診断 | 右下6.7根尖性歯周炎 | ||||
| 処置内容 (または主訴) | マイクロスコープ治療を用いた感染根管治療 | ||||
| 通院期間 | 7か月 | ||||
| 費用 |
|
||||
| リスク・副作用 |
|
2025/04/22
マイクロスコープ治療
NS1128様
| 通院時年齢 | 29歳 | ||||||||||
|---|---|---|---|---|---|---|---|---|---|---|---|
| 性別 | 女性 | ||||||||||
| 通院目的 | 顎が痛む 歯が染みる | ||||||||||
| 診断 | ①顎関節症Ⅰ型 ②右上6う蝕Stage3 ③左上5う蝕ステージ2 ④左上6う蝕ステージ2 ⑤両側下顎銀歯の二次う蝕 |
||||||||||
| 処置内容 (または主訴) | ①マウスピースによる顎関節を安静にする咬合治療 ②マイクロスコープ根管治療 ③1日で完成するセレック治療 ④1日で完成するセレック治療 ⑤1日で完成するセレック治療 |
||||||||||
| 通院期間 | 2年 | ||||||||||
| 費用 |
|
||||||||||
| リスク・副作用 |
|
2025/04/22
マイクロスコープ治療
KK2227様
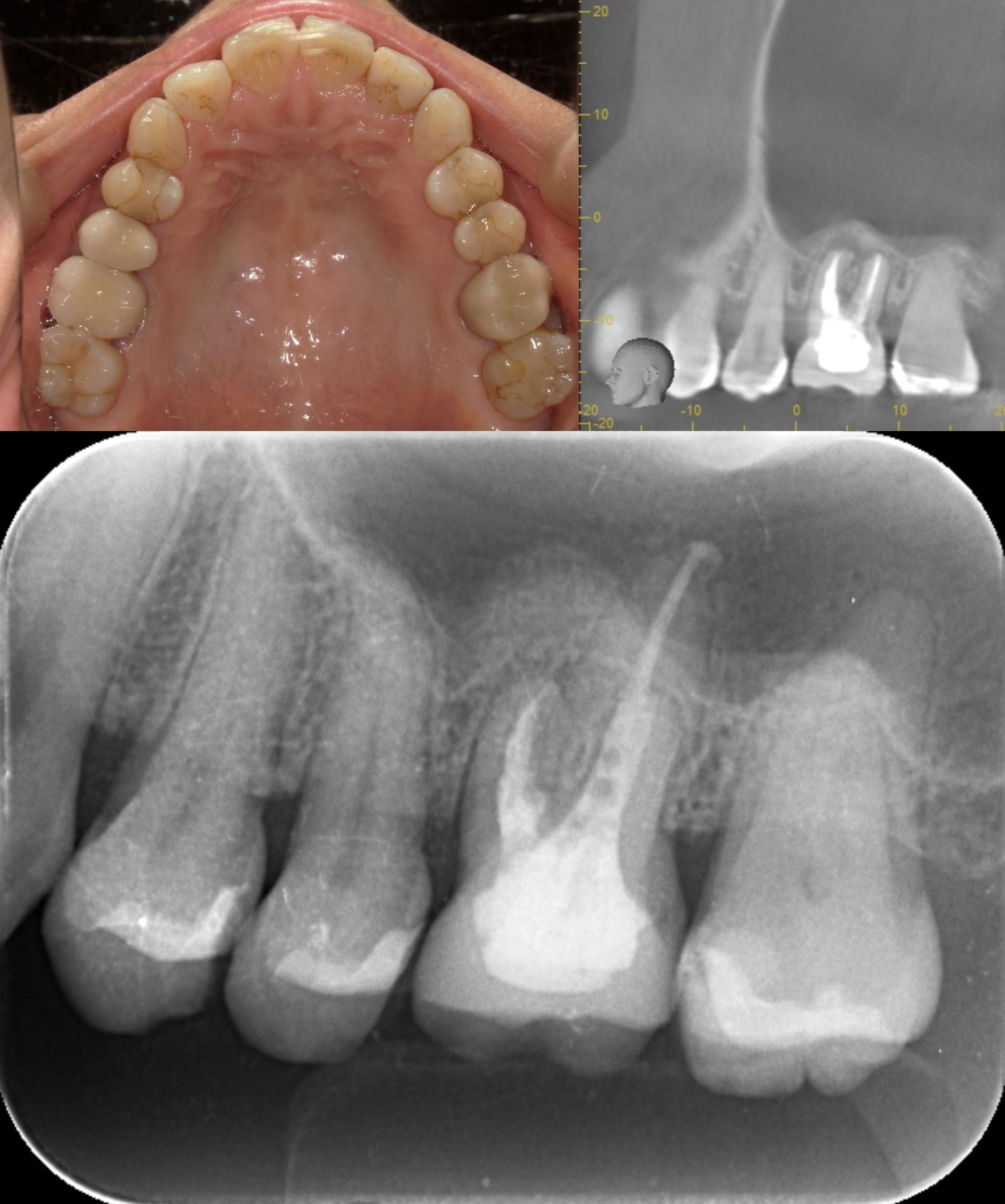
| 通院時年齢 | 55 | ||||||||||
|---|---|---|---|---|---|---|---|---|---|---|---|
| 性別 | 男性 | ||||||||||
| 通院目的 | 右上の歯が取れた | ||||||||||
| 診断 | ①右上7根尖性歯周炎 ②重度う蝕 ③左上7歯髄に近接するステージ3のう蝕 |
||||||||||
| 処置内容 (または主訴) | ①マイクロスコープによる根管治療 ②マイクロスコープによるう蝕除去およびセラミック修復 ③MTAを用いたマイクロスコープによる歯髄温存療法からセレック修復 |
||||||||||
| 通院期間 | 半年 | ||||||||||
| 費用 |
|
||||||||||
| リスク・副作用 |
|
2025/04/22
マイクロスコープ治療
KE2205様
| 通院時年齢 | 46歳 | ||||||
|---|---|---|---|---|---|---|---|
| 性別 | 女性 | ||||||
| 通院目的 | 咬んだ時の歯の根の違和感 | ||||||
| 診断 | 左上6根尖性歯周炎 | ||||||
| 処置内容 (または主訴) | 感染根管処置から被せ物装着 | ||||||
| 通院期間 | 7か月(3か月で終わるものが来院が遠方により長期になった) | ||||||
| 費用 |
|
||||||
| リスク・副作用 |
|