治療の症例

2025/04/22 小児矯正

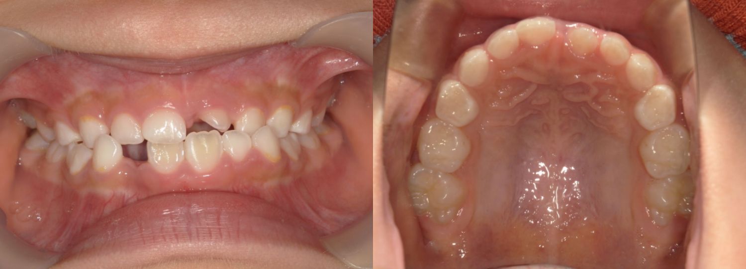
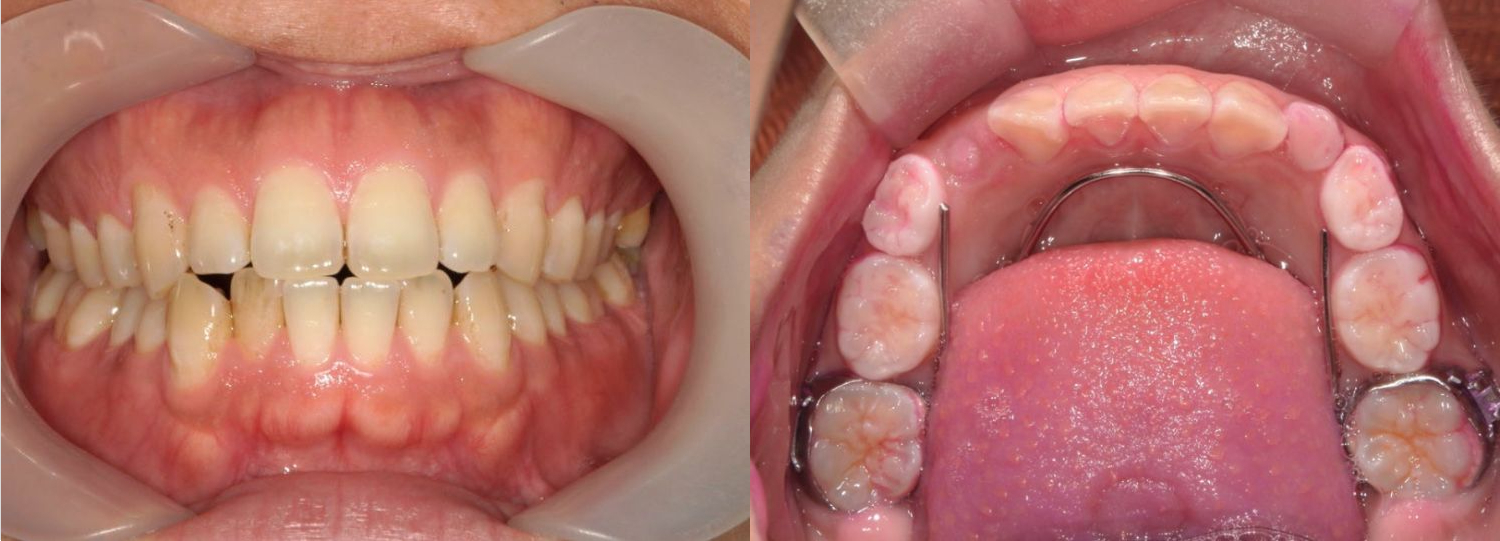
KM2253様

通院時年齢 8歳
性別 女性
通院目的 歯並びが気になる
診断 ①下顎前突を伴う
②上顎歯列叢生
処置内容 (または主訴) ①ムーシールドを用いた下顎前突の改善
②急速拡大を用いた上顎歯列・リンガルアーチを用いた下顎歯列の叢生改善
通院期間 5年
費用
ムーシールド 30,000円
急速拡大装置 150,000円(下顎の床矯正も同時に併用していますがこちらも150,000円)
リスク・副作用
患者および保護者の協力度に依存する
治療の効果が得られたとしても成人矯正(二期矯正治療)になる場合がある
治療が長期間に及ぶ
2025/04/22 小児矯正

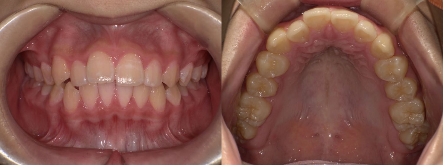
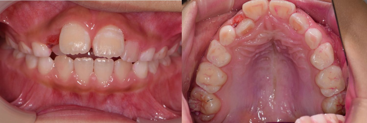
IR1241様

通院時年齢 8歳
性別 男性
通院目的 歯並びと口呼吸が気になる
診断 下顎劣成長による口呼吸
上顎歯列叢生
処置内容 (または主訴) 下顎の前方成長を促す床矯正(BJA)
上顎歯列の拡大を行い鼻腔解放
MFTを行い鼻呼吸を促す
舌の機能訓練を行い弄舌癖の是正
通院期間 6年
費用
矯正など 341,000円
月々の管理費用55,00円
リスク・副作用
舌の癖が改善されない場合後戻りをする
患者の協力が得られない場合治療結果に変化が見られないことがある。
保護者の協力が不可欠