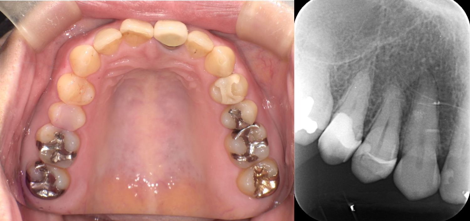
治療の症例

2025/04/22 セレック

OS1457様

通院時年齢 41歳
性別 男性
通院目的 虫歯が気になる
診断 左上45う蝕
処置内容 (または主訴) セレックインレー
通院期間 3回(2か月)
費用
セレックインレー 77,000円×2
リスク・副作用
研磨や調整が難しく定期的なメンテナンスが必要になることがある、自由診療となるため費用が高額となる ジルコニアに比べ天然歯に近い分、破折のリスクがある かみ合わせの変化により適宜調整を必要とする 知覚過敏の出現の可能性がある
2025/04/22 セレック

SY1443様

通院時年齢 47歳
性別 男性
通院目的 銀歯を白くしたい
診断 銀歯による不適からきたう蝕
処置内容 (または主訴) セレック治療
通院期間 1歯1日(しっかりとした健康な歯肉の状態にまずはしてからの治療になります)
費用
セレック治療 1歯77,000円
リスク・副作用
銀歯直下によるう蝕が広範囲に広がっていた際には神経処置になることがありその場合には1日でセレックに置き換える治療から神経を保存する治療もしくは神経を除く処置に移行する場合があります。 研磨や調整が難しく定期的なメンテナンスが必要になることがある、自由診療となるため費用が高額となる
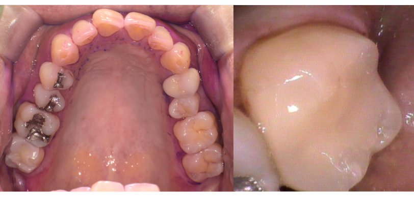
2025/04/22 セレック

OS1457様

通院時年齢 41歳
性別 女性
通院目的 虫歯が気になる
診断 ①右上4う蝕
②左上67う蝕
③左下67う蝕
処置内容 (または主訴) ①セレックインレー
②右上6セレックインレー
 右上7CR
③セレックインレー
通院期間 ①~③ 3回(2か月)
費用
①セレックインレー 77,000円
②右上6セレックインレー
右上7CR
82,500円
③セレックインレー 286,000円
リスク・副作用
研磨や調整が難しく定期的なメンテナンスが必要になることがある、自由診療となるため費用が高額となる
ジルコニアに比べ天然歯に近い分、破折のリスクがある
かみ合わせの変化により適宜調整を必要とする
知覚過敏の出現の可能性がある
2025/04/22 セレック

MY2619様

通院時年齢 53歳
性別 女性
通院目的 虫歯なのか、たまに痛むが歯科恐怖症で怖い
診断 ①重度歯周炎
②う根面からの歯髄近接う蝕
処置内容 (または主訴) ①歯周治療(SRPまで)
②MTAセメントを用いた歯髄温存慮方法からセレックにて修復
通院期間 ①1年(歯周病治療)
②セレック1日
費用
①重度歯周炎 保険請求の範囲内
②う根面からの歯髄近接う蝕 MTAおよび一次的神経保護44,000円
セレック77,000円
リスク・副作用
①歯周病は定期的なメンテナンスが必要で歯ブラシを怠ると根面う蝕や歯周病の再発があります。
②神経を温存しておりますが、神経症状が生じた場合には抜髄と言って神経を除かなくてはならないことがあります。
処置後知覚過敏が生じることがあります。