オールセラミックジルコニアボンド 2019.07.17審美歯科治療の症例 歯の色調がどうしても出せない場合、褪せてしまった歯を透明感のある歯に被せ物でよみがえらせる処置があります。施術前施術後拡大した様子はこちら 続きを読む
早期に矯正を行うことで短い時間で修正を行う事ができた症例 2019.07.17矯正歯科治療の症例 治療期間:4ヶ月費用:30万リスク:骨格に異常がある場合には2年以上の治療期間がかかる場合がある初診時かみ合わせが反対で、このままですと、将来下あごが出てしまう可能性が高くなってしまいます。治療中上顎... 続きを読む
意図的再植 2019.07.17口腔外科の症例 治療期間:6ヶ月費用:6万~リスク:移植歯の歯根膜の状態により短い期間で抜歯に至る可能性がある。治療前奥歯の違和感で来られました。保険の銀歯を外すと深ーいところまで虫歯が入り込み抜歯をすすめました。... 続きを読む
入れ歯の症例 2019.07.17入れ歯治療の症例 他院にて3年治療の末に9本抜歯と宣告された症例です。ベーシス適応の歯は当院でも4本残念ながら有りましたが、残りの5本はなんとか残すことができました。インプラントを強く希望されましたが金属床の入れ歯を作... 続きを読む
インプラントを用いたエクストリュージョン 2019.07.17インプラントの症例 費用:50万治療期間:8ヶ月リスク説明:下顎のインプラントは神経に近い恐れがあります。治療前保険の被せ物の中は虫歯だらけでした・・・歯を引き出す処置自分の歯を残したいと強く希望されたので、インプラント... 続きを読む
取り外しですが入れ歯に見えない治療法 2019.07.17入れ歯治療の症例 取り外し可能な入れ歯を使用していますが、入れ歯に見えない治療法です。費用:120万治療期間:120年リスク説明:金属アレルギー治療前被せものがとれて起こしになりましたが深い部分まで虫歯があり、健康なとこ... 続きを読む
歯髄(歯の神経)を残す取り組み 2019.07.17虫歯治療の症例 保険適用範囲の詰め物の下は未知の世界です。 保険の詰め物の下には真っ青に染まる虫歯 虫歯を全て取り切ると神経を除かなくてはいけないので少しだけ虫歯を残し、歯の組織が出来る薬剤を敷きます。 崩れない様... 続きを読む
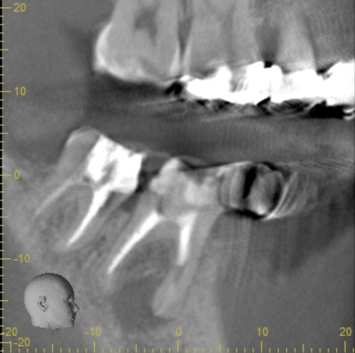
親知らずの抜歯 2019.07.17口腔外科の症例 親知らずの抜歯例です。CTにて接触が8mmあり、下唇の麻痺の可能性もありますが、手前の歯の当たっている部分が徐々に溶けてきています。抜歯後、手前の歯の揺れなども起こらず骨も回復してきています。費用:1万... 続きを読む
矯正治療、かみ合わせの治療 2019.07.17矯正歯科治療の症例 矯正治療、かみ合わせの治療の治療例です。費用:40万治療期間:1.5年リスク説明:元々顎関節症などの顎の疾患がある場合には治療期間が延びることがあります。後戻りを避けるため固定をしないといけない場合があ... 続きを読む
外傷後の矯正(MTM) 2019.07.17口腔外科の症例 外傷後の矯正の例です。(MTM)費用:6万治療期間:5か月リスク説明:歯根が短くなり揺れが残る場合があります。治療中は仮歯でバネを隠しますが硬いものが食べられません。初診時治療中の様子治療完了 続きを読む
セレックの症例 2019.07.17セレックの症例 セレックとは欠損した歯に対して、セラミック素材による歯の修復を指し、CAD/CAMを用いて設計され、より歯に馴染むように作製されます。初診時…4本セレックセレックスキャン前…(1時間の形作り)セレックセット…... 続きを読む