顎の大きさを調整し、出っ歯の修正(小児矯正) 2019.07.17矯正歯科治療の症例 小児矯正のみですが、顎の大きさを広げる処置を行ったため、おおかたの出っ歯が修正されたケースです。治療期間:2年費用:30万リスク:広がりには個人差があり、あまり拡大を行えない症例もある。歯の大きさによ... 続きを読む
歯茎の移植からインプラント 2019.07.17インプラントの症例 インプラントをより快適に予後の良い状態へするための、歯茎の移植からインプラントを行った症例治療期間:1年費用:歯肉移植、インプラント費用合計…45万リスク:インプラントが正着しない場合がある。痛みがあ... 続きを読む
エクストリュージョン(牽引) 2019.07.17虫歯治療の症例 他の病院にて抜歯を宣告され来院され、なんとか残す方法を伝え挑戦した結果歯を残すことができました。治療期間:1年半費用:6万円(被せ物代を除く)リスク:虫歯が想像以上に深い場合は抜歯になる可能性がある... 続きを読む
部分的に矯正、入れ歯を取り入れかみ合わせを治した歯周病の症例 2019.07.17入れ歯治療の症例審美歯科治療の症例歯周病治療の症例矯正歯科治療の症例 全ての歯を矯正せず、部分的に矯正を行い、歯周病の治療を根気強く進め、かみ合わせを改善した後、前歯は体の真ん中に歯が来るように矯正治療にて修正し、e-maxで被せ物を行ったケースです。治療期間:2年半矯正... 続きを読む
被せ物のバランス、かみ合わせが悪く、被せ物が脱落した症例 2019.07.17審美歯科治療の症例 被せ物のバランスが悪く、かみ合わせの状態も悪い為、被せ物が脱落した症例です。前歯のかみ合わせの調和を図るため前歯を自費診療にてやり替えました。治療期間:1年費用:78万リスク:残っている歯が少ない場合... 続きを読む
歯周組織再生療法 2019.07.17歯周病治療の症例 歯周組織再生療法とは、歯周病により、歯を支える歯槽骨が溶けてしまった箇所を再生素材を用いて、歯周組織を回復させていく治療法です。エムドゲインとリグロスがあります。治療期間:1年※再生療法は年々骨の回... 続きを読む
歯根の膿の袋を治療し、健康な歯の部分を引き出した治療 2019.07.17虫歯治療の症例 歯の根の膿の袋を治療し、健康な歯の部分を引き出して、被せ物を行った治療(エクストリュージョン・牽引)。治療期間:1年費用:6万円(被せ物を含まない)リスク:虫歯が深い場合に抜歯に至る可能性がある。歯... 続きを読む
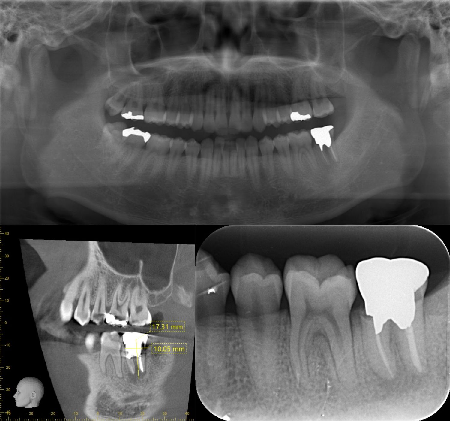
親知らずを用いて移植を行った症例 2019.07.17口腔外科の症例 親知らずによって手前の歯が抜歯になったが、その親知らずを用いて移植を行った症例です。治療期間:7ヶ月費用:保険適応リスク:下唇の神経損傷の可能性あり。移植歯がきれいに抜けない場合は移植ができない可能... 続きを読む
親知らずの移植後、歯の根の治療を行った症例 2019.07.17口腔外科の症例 治療期間:7ヶ月費用:保険適応リスク:上顎洞穿孔により鼻血がでる可能性あり。移植歯がくっつかない可能性あり。治療前 治療後 続きを読む
移植によって歯の神経が生き返った症例 2019.07.17口腔外科の症例 口腔内右下の移植によって歯の神経が生き返った症例です。治療期間:6ヶ月費用:1~2万(保険適応)リスク:正着せずに抜歯になる場合あり。親知らずの抜歯に際して神経の損傷の可能性あり。治療前治療後 続きを読む
抜歯せずに噛めるようになったエクストリュージョン(牽引)処置 2019.07.17虫歯治療の症例 上下とも深い虫歯になり抜歯を宣告されたが引き出すことで抜歯せずに噛めるようになったエクストリュージョン(牽引)処置です。治療期間:12ヶ月費用:1本6万円 2本目以降5万円(被せ物を除く)リスク:虫歯が深... 続きを読む
意図的再植(蓄膿症併発したケース) 2019.07.17口腔外科の症例 治療期間:1年費用:意図的再植6万リスク:感染した歯を戻す戻す意図的再植は、骨に再度歯がくっつかなくてはいけないので、正着しない場合がある。処置後鼻血が出る場合がある。 術前の様子右上の歯の根の... 続きを読む