カテゴリー:
低侵襲治療
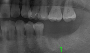
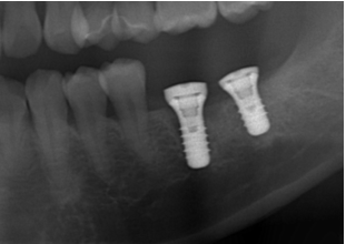
主訴:奥歯で噛めるようになりたい

Before

After
症例情報
| 通院時の年齢 | 45歳 |
|---|---|
| 性別 | 女性 |
| 通院回数 | 6回程度 期間3ヶ月 |
| 通院目的 | 入れ歯を入れたくない |
| 処置内容 | インプラントを入れる治療 |
| 費用 | 85万(歯周病治療は保険治療) |
| デメリット・注意点 | 歯周病にかかっている患者さんは治療からインプラント治療に至るまでに1年近くかかる場合があります 治療後はれる可能性があります 虫歯の治療が並行して必要な場合があります |
| 備考 | 入れ歯による保険のかみ合わせの修復は引っ掛ける歯の寿命を短縮させ、せっかく治療したのにその引っかけの歯の歯茎がすぐに下がって虫歯になってしまう可能性や抜歯になってしまう可能性があります セラミックを使うインプラント上部の歯を使用することでインプラントの歯周病のリスクを下げることが出来ます |



