カテゴリー:
歯列矯正と歯の保存
主訴:親知らずが痛い

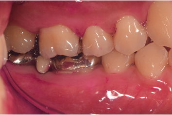
Before

After
症例情報
| 通院時の年齢 | 29歳 |
|---|---|
| 性別 | 男性 |
| 通院回数 | 25回程度 |
| 通院目的 | 長持ちする治療にしたい |
| 処置内容 | アップライト矯正にて、親知らずを抜かずに咬める治療 |
| 費用 | 13万(管理費月3300円) |
| デメリット・注意点 | 歯周病にかかっている患者さんはアップライト矯正前に1年近くかかる場合があります 歯周病にかかっている歯は少し歯茎が下がる場合があります 虫歯の治療の並行して必要な場合があります(虫歯に治療や歯の根の治療は保険診療) |
| 備考 | 親知らずが磨きにくいことは虫歯に鳴り通常抜歯になります 綺麗なかみ合わせは作れないのはもちろんのこと親知らずを抜きますとインプラント治療か入れ歯の治療しかありません 親知らずでも矯正治療というオプションを使うことで、不潔になりづらい装置になります その結果、かみ合わせを長持ちさせることができます |




