カテゴリー:
歯列矯正と歯の保存
主訴:歯並びが気になる

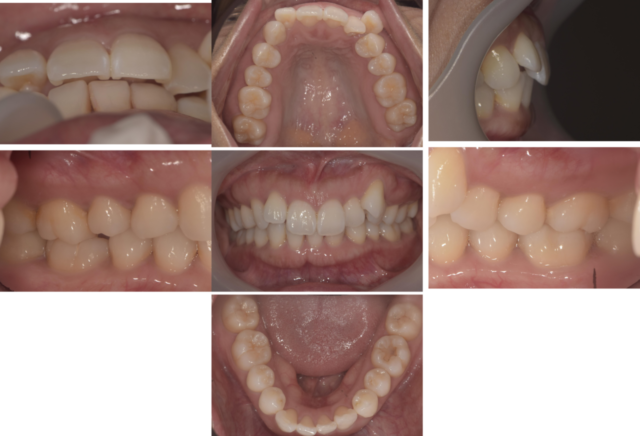
Before

After
症例情報
| 通院時の年齢 | 36歳 |
|---|---|
| 性別 | 女性 |
| 通院回数 | 26回 |
| 通院目的 | 歯並びが気になる |
| 処置内容 | 抜歯を伴う矯正 |
| 費用 | 100万円 |
| デメリット・注意点 | 歯肉退縮のリスク・針金やブラケットによる口内炎などの痛み |
治療詳細
-

問題点
・上下ともにスペース不足 ・上顎左側偏位 ・下顎右側偏位 ・DeepBite
-
手順と時期
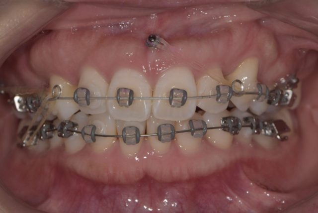
①上下のレベリング ②14抜歯、16.15間にTAD埋入、右側へ偏位を補正 ③上顎前歯の圧下(16.26の廷出と3-3の圧下) ④下顎は非抜歯左側大臼歯部へTED埋入、左側へ1mm正中補正
-

経過①
上顎前歯の圧下にはアンカースクリューから左上犬歯サークルを牽引継続。 下顎歯列にもブラケット装着しレベリング開始、最初から016ssが入る。 下顎右偏位なので右側にⅡ級ゴム、正面には右上犬歯サークルと左下犬歯サークルへ斜めの正中を合わせるようにゴム装着、本人には左嚙み指示。
-

経過②
下顎のワイヤー016ラウンドが入る。上顎のリトラクションは、23の犬歯から34犬歯サークルに現在は引くようにしている。

