カテゴリー:
自家歯牙移植・再植
移植歯の症例

Before

After
症例情報
| 通院回数 | 12回(治療期間1年) |
|---|---|
| 通院目的 | 歯の移植の相談をしたい |
| 処置内容 | 歯牙移植 |
| 費用 | 移植 15万 根管治療 6万 コア 1万 セレッククラウン 7万 |
| デメリット・注意点 | 生着を必ずするとは限らない 外部吸収のリスクがある 咬合時の違和感が生じる場合がある 失敗した場合には、インプラントを行うに際して骨造成を必要とする。 インプラント治療に比べ、予後が不明確 |
治療詳細
-

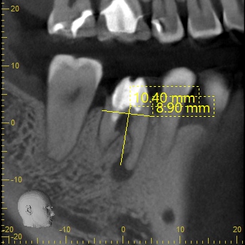
CT(術前・移植前)
-

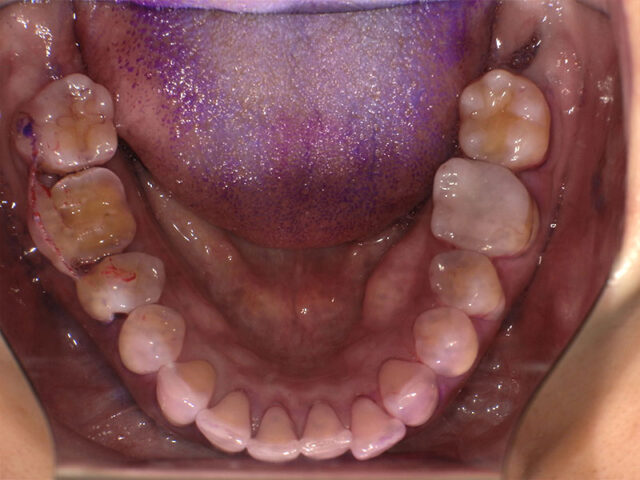
口腔内写真(術前・移植前)
-

口腔内写真(術前・移植前)
-

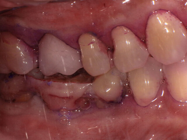
口腔内写真(術後)
Finalセレックにて補綴
-

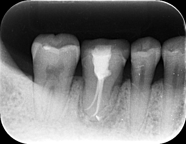
Finalセレックレントゲン

