Warning: Undefined variable $link in /home/umygame8/endo-dental.com/public_html/hozon/wp-content/themes/ZeroTheme/inc/shortcode.php on line 796

自家歯牙移植・再植とは
自分の歯を移植・再植して
抜歯を回避
残念ながら治療では残すことができず、やむをえず抜歯になってしまう場合、親知らずや嚙み合わせに関与していない歯を移植用の歯として再利用する治療です。
また、再植では「悪い部分だけ直して、同じ場所に戻す」という治療が可能です。
「自家歯牙移植・再植」でできること
- Point.01自分の歯を再利用できる
- 自分の歯を再利用できるため、安全に治療ができます。また歯の大部分が健康な場合、抜歯後に悪い部分だけを治して、再植(同じ場所に戻す治療)ができます。
- Point.02人工歯を入れなくて済む
- 本来抜歯をした場合、インプラントなどの人工歯を入れる必要があります。いくら見た目が綺麗な人工歯でも、天然歯のような機能性は期待できません。
- Point.03治療後の拒絶反応がない
- 自分の歯を再利用するため、入れ歯・ブリッジ・インプラントなどの人工歯のように金属アレルギーなどの拒絶反応がありません。
自家歯牙の移植と再植について
移植と再植、どちらも自分の歯を埋め込む治療法です。
移植は絶望的となって抜歯を余儀なくされた場所に対して、別の場所に萌えている歯(埋まっている親知らずなど)を持ってくる方法です。
再植は、深い所に病気がある歯に対して、一度その歯を抜いて、悪い所を取り去った後に再び元の所に戻す方法です。
-

歯牙移植
歯牙移植とは、虫歯や歯周病などで失ったところに、自分の違う歯を移し入れる方法です。虫歯などで失ってしまった部分に、抜歯した親知らずなどを埋め込みます。
-

外科的挺出・意図的再植
一度歯を抜いてから病変部位を治療して元に戻すことで、再び健康な歯として生まれ変わらせることのできる治療です。親知らずなどを使用せず、同じ場所に歯を戻します。
天然歯の再利用
「自家歯牙移植」
人工歯よりも天然歯の移植が良い理由

歯は歯槽骨という骨で支えられていますが、歯と歯槽骨が直接接しているわけではなく、間に歯根膜という薄い組織が存在します。歯根膜は再生能力が高い細胞を多く含んでいるので、自家歯牙移植でも歯根膜が残っていることがキーになります。歯根膜が存在することで、生体センサーが脳にも刺激を加えます。これが噛むことで「記憶力が向上する」「認知症防止」と言われる所以です。
自家歯牙移植を行うと、細胞内に眠っていた再生能力が活性化し、周辺の歯周組織の再生ができるので、移植後に歯と歯槽骨が自然に近い形でつながっていくのです。
また、MRIや金属アレルギーのリスクもなく、もともと生体内にある自分のものを再度活性化して使うので、大変身体に優しい治療法です。
自家歯牙移植とインプラントの違い
インプラントは予知性が高く98%以上は長期的に使用できます。
しかし、異物なのでインプラント不耐症といった違和感を抱える患者さんも少なからずいらっしゃることも事実です。
移植は生着率がインプラントに比べ半分ほどですが、生着すればメンテナンスをしっかり行う事で余命を長く保つことが出来ます。また、インプラントは感染すると撤去するのにダメージの大きな処置を必要とするのに対して、移植は失敗した際にはほとんど痛み無く抜歯することが出来ます。
インプラントや入れ歯、ブリッジは歯の欠損を補うことができますが、天然歯に勝るものではありません。自家歯牙移植なら自分自身の歯なのでリスクもありませんし、歯根膜があれば肉体が持つ本来の再生作用で自然に近い状態を作ることができます。
| 自家歯牙移植 | インプラント | |
|---|---|---|
| 埋め込む歯 | 自分の歯(親知らずなど) | 金属部のある人工歯 |
| 歯根膜 | 一緒に移植する | ない |
| 治療方法 | 抜歯した自分の歯を、別の場所に移植する | 人工歯を埋め込む |
| 歯と歯茎との適合 | 歯根膜があり、適合しやすい | 金属アレルギーなど拒絶反応を起こす場合がある |
| 治療費用 | 自費(一般的に6万~)※保険適用の場合もあります | 自費(一般的に20万~) |
| 治療難易度 | 比較的難易度が高く、専門的な歯科医師のもとで治療したほうが安心である | 自家歯牙移植よりも難易度は低く、一般的な歯科医院でも行っている場合が多い |
※治療を受ける患者様自身から抜去した親知らず(埋伏歯または智歯)を移植する場合。
※移植治療開始時点で、保存できなくなった受給歯(レシピエント歯)と提供歯(ドナー歯)の両方が、サイズの合った状態で存在している必要があります。
自家歯牙移植のメリット・デメリット
-
メリット
- 歯根膜があると自然な食感を得ることができます
- インプラントより低価格で、身体的負担も少ない治療です
- 自家歯牙移植後の歯は矯正治療で動かすことが可能です
- 自分の歯であるため、アレルギー反応が出にくい
- 移植した歯は1~30年と長持ちします
-
デメリット
- インプラントより難易度の高い治療を要求されます
- 天然歯なのでセルフケアを怠ると虫歯になります
- 移植に適した歯が必要
- 移植先に十分な骨がないと適応にならない
自家歯牙移植料金
-
保険治療
- 智歯を同日抜歯した部位に移植する場合保険治療となります。
-
自費治療
- 智歯以外で同日抜歯したところに移植する場合20,000円、EDM併用で60,000円
(欠損部の骨にドリルを行って移植する場合60,000円)
- 智歯以外で同日抜歯したところに移植する場合20,000円、EDM併用で60,000円
病変部分を治療して元に戻す「外科的挺出・意図的再植」
外科的挺出・意図的再植について

根っこの先端にある膿の風船が大きくなりすぎているなど、根っこの治療が難しい場合、外科的に直接歯を抜いて病変にアプローチする治療法です。条件が揃えばご自身の歯を残せるかもしれない治療法としての最終手段です。根尖病変、重度の歯周病の際には、再生療法の薬(リグロス、EMD)と併用したり人工骨を使うケースもあります。
外科的挺出・意図的再植を行うケース
- 通常の歯の根っこの治療が困難なとき(土台が長い、器具の破折、根尖孔が破壊されているときなど)
- 通常の歯の根っこの治療に応答しないとき(バイオフィルム、嚢胞、側枝などの問題)
- 歯根端切除が困難なとき(物理的に機具が届かないもしくは神経の位置が隣接しているなど解剖学的な問題、出血のコントロールの問題)
- 歯の根の病気と歯周病が重度になってしまい鑑別診断がつかないとき
- エクストリュージョンのための機具が装着できないとき
- 治療期間が十分に取れない場合の強行策として
- 虫歯が極端に深く歯茎の下まで及んでいるとき
これらのケースが重なった時に外科的挺出・意図的再植を行うことが多いです。
外科的挺出・意図的再植のメリット・デメリット
-
メリット
- 抜歯を回避して、歯を残すことができる
- 歯の根っこのみ悪い場合など、スポットで治療ができる
- 根管治療では治らないような状態でも回復が期待できる
-
デメリット
- 比較的難易度の高い治療のため、歯科医師の技術が必要
- 症状によっては治療が適応にならない場合がある
- ごく稀に感染や、抜歯時に折れてしまうことがある
エクストリュージョン法と併用することも
エクストリュージョンとは、矯正的に歯を引っ張り出す治療のことです。歯を引っ張り出すことで、被せ物を造ることを可能にします。
このエクストリュージョン法と併用することで、本来抜歯しなくてはならないような歯であっても、歯を残せる可能性がさらに広がります。症状に合わせた治療をご提案しますので、お気軽にご相談ください。
自家歯牙移植・再植の症例紹介
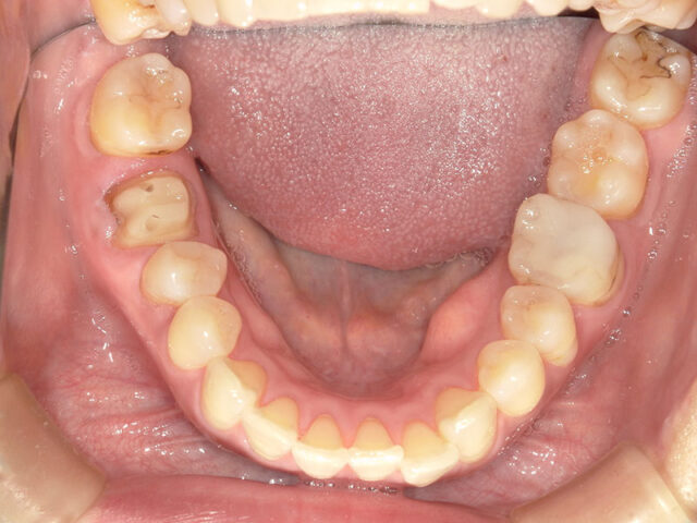
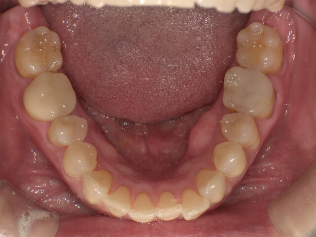
移植歯の症例

Before

After
| 通院回数 | 12回(治療期間1年) |
|---|---|
| 通院目的 | 歯の移植の相談をしたい |
| 処置内容 | 歯牙移植 |
| 費用 | 移植 15万 根管治療 6万 コア 1万 セレッククラウン 7万 |
| デメリット・注意点 | 生着を必ずするとは限らない 外部吸収のリスクがある 咬合時の違和感が生じる場合がある 失敗した場合には、インプラントを行うに際して骨造成を必要とする。 インプラント治療に比べ、予後が不明確 |
よくある質問
- どういう人が適応(対象)になりますか?
- 健康な人であればどなたでも適応です。血液さらさらな方は、医科との連携を行って施術の許可をいただいてからの施術になります。
- 抜いた歯は、どの歯にも(奥歯でも前歯でも)移植できるのですか?
- 抜いた歯は、移植先との幅や高さによって移植できない場合があります。
- 抜いた歯の頭(歯冠)はそのまま生かせますか?
- 抜いた歯の上物は場合によってそのまま使えますが、かみ合わせの観点から被せ物を行う事が通法です。
- どれくらい長持ちしますか?寿命はどのくらいですか?
- 患者様個々によって異なります。一番大切なことは、歯根膜の状態とお口の中の清掃の状態によって予後は左右されます。
- 治療期間はどのくらいかかりますか?
- 治療期間は移植は一日で完了しますが、移植歯は骨と接合するまで1ヶ月から3ヶ月かかります。
再生療法を併用した場合などで期間は前後します。また、移植した歯の根の治療も必要で2回に分けて一回2時間かかります。また、移植歯の土台・被せ物によって期間が1回なのか1ヶ月なのか最終的な被せ物が入って噛めるようになるまでは時間がかかります。 - 移植はどこの歯科医院でもできるのですか?
- 移植は外科処置経験やインプラント処置経験の豊富な先生に限られます。
インプラントを専門でやられている先生は逆にインプラントに特化しすぎており、移植における知識や技術を持ち合わせてない可能性もあるので移植経験を十分に聴取する必要があります。経験もなく、移植を全否定する先生は避けた方が良いでしょう。

