カテゴリー:
歯冠長延長術
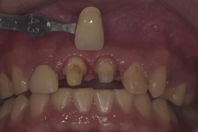
主訴:前歯の形を綺麗にして欲しい

Before

After
症例情報
| 通院時の年齢 | 24歳 |
|---|---|
| 性別 | 男性 |
| 通院回数 | 10回 |
| 通院目的 | 前歯の審美改善 |
| 処置内容 | 歯冠長延長術 |
| 費用 | 6万 |
| デメリット・注意点 | 術後の痛みを伴う |
| 備考 | 歯周病の治療や再生療法を併用する場合もあります |
カテゴリー:

Before

After
| 通院時の年齢 | 24歳 |
|---|---|
| 性別 | 男性 |
| 通院回数 | 10回 |
| 通院目的 | 前歯の審美改善 |
| 処置内容 | 歯冠長延長術 |
| 費用 | 6万 |
| デメリット・注意点 | 術後の痛みを伴う |
| 備考 | 歯周病の治療や再生療法を併用する場合もあります |


