カテゴリー:
歯列矯正と歯の保存
歯列矯正

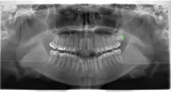
Before

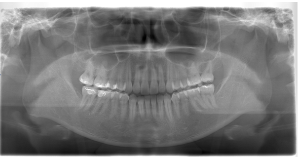
After
症例情報
| 通院時の年齢 | 25歳 |
|---|---|
| 性別 | 女性 |
| 通院回数 | 2.5年 |
| 通院目的 | 歯列矯正 |
| 処置内容 | インビザラインによるマウスピース矯正 |
| 費用 | 80万 |
| デメリット・注意点 | 患者の協力に起因する 今回親知らずのの萌出も左上では必要のため出てこない場合は更に必要が2万加算される可能性があった |
カテゴリー:

Before

After
| 通院時の年齢 | 25歳 |
|---|---|
| 性別 | 女性 |
| 通院回数 | 2.5年 |
| 通院目的 | 歯列矯正 |
| 処置内容 | インビザラインによるマウスピース矯正 |
| 費用 | 80万 |
| デメリット・注意点 | 患者の協力に起因する 今回親知らずのの萌出も左上では必要のため出てこない場合は更に必要が2万加算される可能性があった |

