カテゴリー:
すべての投稿
歯列矯正と歯の保存
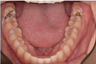
主訴:親知らずが気になる

Before

After
通院時の年齢 | 44歳 |
---|---|
性別 | 女性 |
通院回数 | 20回程度 8ヶ月 |
通院目的 | 自分の歯を残したい |
処置内容 | アップライト矯正治療 |
費用 | 10万(歯周病治療は保険治療・被せ物は自費診療で今回の費用には含まない) |
デメリット・注意点 | 歯周病にかかっている患者さんは矯正治療を受けられない可能性があります 歯周病にかかっている歯は歯周病の治療が完了してから矯正の可否を判断します うまく矯正治療で動かない場合があります |
備考 | 抜歯になると入れ歯かインプラントを選択しなくてはならず費用は3倍近くかかります 保険の入れ歯は咬むことを阻害してしまうので身体への害はもちろんのことせっかく治療した歯の歯茎がすぐに下がって再度虫歯になってしまう可能性や引っかけの歯に負担が大きくなり抜歯になることがあります |
低侵襲治療
主訴:奥歯で噛めるようになりたい

Before

After
通院時の年齢 | 45歳 |
---|---|
性別 | 女性 |
通院回数 | 6回程度 期間3ヶ月 |
通院目的 | 入れ歯を入れたくない |
処置内容 | インプラントを入れる治療 |
費用 | 85万(歯周病治療は保険治療) |
デメリット・注意点 | 歯周病にかかっている患者さんは治療からインプラント治療に至るまでに1年近くかかる場合があります 治療後はれる可能性があります 虫歯の治療が並行して必要な場合があります |
備考 | 入れ歯による保険のかみ合わせの修復は引っ掛ける歯の寿命を短縮させ、せっかく治療したのにその引っかけの歯の歯茎がすぐに下がって虫歯になってしまう可能性や抜歯になってしまう可能性があります セラミックを使うインプラント上部の歯を使用することでインプラントの歯周病のリスクを下げることが出来ます |
低侵襲治療
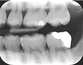
主訴:親知らずが痛む

Before

After
通院時の年齢 | 25歳 |
---|---|
性別 | 女性 |
通院回数 | 6回程度 期間2ヶ月半 |
通院目的 | 親知らずと虫歯を治したい |
処置内容 | 親知らずの抜歯後、歯茎より下に部分にフィットするセラミックを入れる治療 |
費用 | 7万(親知らずの抜歯は保険治療) |
デメリット・注意点 | 親知らずを抜くと痛みが伴う 多少なりとも腫れる 親知らずを抜きその後治ってから虫歯の治療が必要 |
備考 | 銀歯による修復は素材の身体への害はもちろんのことせっかく治療した歯が再度虫歯になってしまう可能性があります。 セラミックを使う事でより歯を歯周病や虫歯から長持ちさせることに役立ちます |
歯列矯正と歯の保存
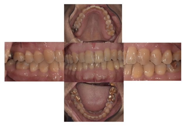
主訴:歯並びが悪く笑顔になれない

Before

After
通院時の年齢 | 23歳 |
---|---|
性別 | 女性 |
通院回数 | 15回程度 期間7ヶ月 |
通院目的 | 歯並びを治したい ワイヤー矯正でも良いので安く矯正をしたい |
処置内容 | ワイヤー前歯 |
費用 | 15万(月々管理費用3300円) |
デメリット・注意点 | 移動がスムーズに行われない場合は追加でワイヤーの箇所が増える場合がある 多少なりとも歯が動く際は痛みがある 矯正中は清掃不良に鳴り訳すなり定期的な清掃指導を必要とする |
備考 | 歯並びは見た目だけでなく咬むことの健康とご自身の歯を長持ちさせることに役立ちます |
歯列矯正と歯の保存
主訴:歯並びが悪く抜けて見える

Before

After
通院時の年齢 | 55歳 |
---|---|
性別 | 男性 |
通院回数 | 20回程度 期間1年半 |
通院目的 | ワイヤー矯正では歯が痛くなりインビザラインを用いた痛くない矯正をしたい |
処置内容 | インビザライン |
費用 | 費用80万(月々管理費用5500円) |
デメリット・注意点 | 移動がスムーズに行われない場合は追加でねじを埋入して移動を促す場合がある 多少なりとも歯が動く際は痛みがある 20時間以上の装着時間が必要 |
備考 | 歯並びは見た目だけでなく咬むことの健康とご自身の歯を長持ちさせることに役立ちます |