カテゴリー:
自家歯牙移植・再植
歯牙移植の症例

Before

After
症例情報
| 通院回数 | 14回(治療期間1年) |
|---|---|
| 通院目的 | 折れた歯の治療希望 移植ができたらしたい |
| 処置内容 | 歯牙移植 |
| 費用 | 移植後固定:移植費用15万(固定期間3か月) 根治5万 補綴セレック8万 |
| デメリット・注意点 | 移植歯が折れる場合がある 移植後生着しない場合がある かみ合わせによって違和感を感じる場合がある |
治療詳細
-

初診
左上7が真っ二つに割れています
-

移植後固定
-

移植直後
-

移植直後
-

最終補綴装着
治療期間1年
-

補綴かみ合わせの状態
-

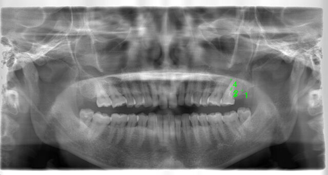
最終補綴物セット後のレントゲン
-

初診時CT
初診時の歯根周囲の骨の喪失状態をCTにて確認
-

初診時
-

補綴物装着後

