カテゴリー:
すべての投稿
低侵襲治療
主訴:親知らずが痛む

Before

After
| 通院時の年齢 | 25歳 |
|---|---|
| 性別 | 女性 |
| 通院回数 | 6回程度 期間2ヶ月半 |
| 通院目的 | 親知らずと虫歯を治したい |
| 処置内容 | 親知らずの抜歯後、歯茎より下に部分にフィットするセラミックを入れる治療 |
| 費用 | 7万(親知らずの抜歯は保険治療) |
| デメリット・注意点 | 親知らずを抜くと痛みが伴う 多少なりとも腫れる 親知らずを抜きその後治ってから虫歯の治療が必要 |
| 備考 | 銀歯による修復は素材の身体への害はもちろんのことせっかく治療した歯が再度虫歯になってしまう可能性があります。 セラミックを使う事でより歯を歯周病や虫歯から長持ちさせることに役立ちます |
歯列矯正と歯の保存
主訴:歯並びが悪く笑顔になれない

Before

After
| 通院時の年齢 | 23歳 |
|---|---|
| 性別 | 女性 |
| 通院回数 | 15回程度 期間7ヶ月 |
| 通院目的 | 歯並びを治したい ワイヤー矯正でも良いので安く矯正をしたい |
| 処置内容 | ワイヤー前歯 |
| 費用 | 15万(月々管理費用3300円) |
| デメリット・注意点 | 移動がスムーズに行われない場合は追加でワイヤーの箇所が増える場合がある 多少なりとも歯が動く際は痛みがある 矯正中は清掃不良に鳴り訳すなり定期的な清掃指導を必要とする |
| 備考 | 歯並びは見た目だけでなく咬むことの健康とご自身の歯を長持ちさせることに役立ちます |
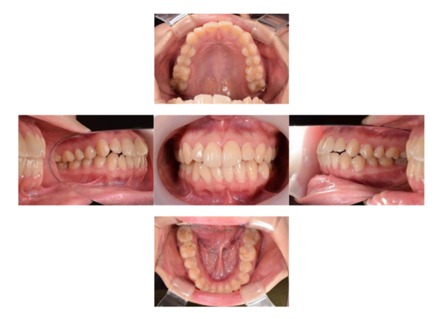
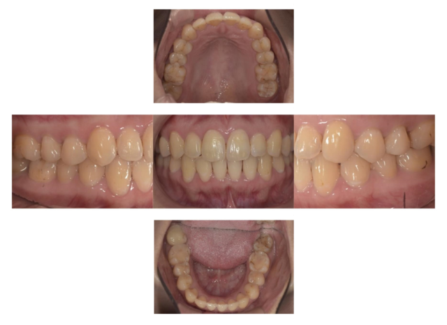
歯列矯正と歯の保存
主訴:歯並びが悪く抜けて見える

Before

After
| 通院時の年齢 | 55歳 |
|---|---|
| 性別 | 男性 |
| 通院回数 | 20回程度 期間1年半 |
| 通院目的 | ワイヤー矯正では歯が痛くなりインビザラインを用いた痛くない矯正をしたい |
| 処置内容 | インビザライン |
| 費用 | 費用80万(月々管理費用5500円) |
| デメリット・注意点 | 移動がスムーズに行われない場合は追加でねじを埋入して移動を促す場合がある 多少なりとも歯が動く際は痛みがある 20時間以上の装着時間が必要 |
| 備考 | 歯並びは見た目だけでなく咬むことの健康とご自身の歯を長持ちさせることに役立ちます |
歯列矯正と歯の保存
歯列矯正

Before

After
| 通院時の年齢 | 25歳 |
|---|---|
| 性別 | 女性 |
| 通院回数 | 2.5年 |
| 通院目的 | 歯列矯正 |
| 処置内容 | インビザラインによるマウスピース矯正 |
| 費用 | 80万 |
| デメリット・注意点 | 患者の協力に起因する 今回親知らずのの萌出も左上では必要のため出てこない場合は更に必要が2万加算される可能性があった |
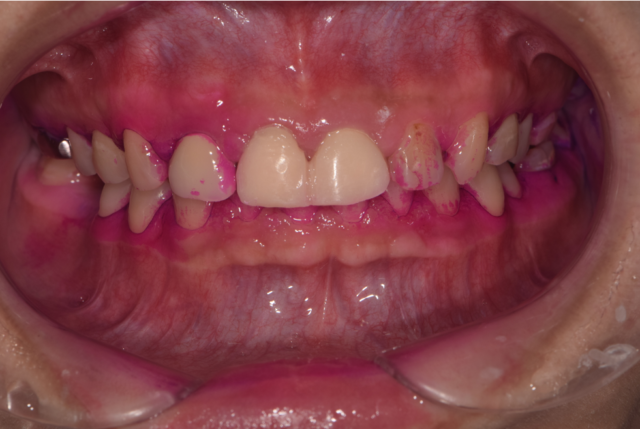
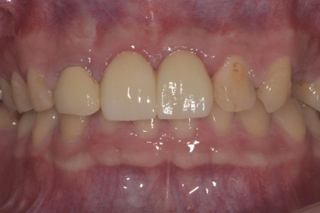
歯冠長延長術
主訴:前歯の形を綺麗にして欲しい

Before

After
| 通院時の年齢 | 24歳 |
|---|---|
| 性別 | 男性 |
| 通院回数 | 10回 |
| 通院目的 | 前歯の審美改善 |
| 処置内容 | 歯冠長延長術 |
| 費用 | 6万 |
| デメリット・注意点 | 術後の痛みを伴う |
| 備考 | 歯周病の治療や再生療法を併用する場合もあります |

