歯茎の移植を行ってインプラントを植立し噛めるようにした症例 2019.07.17インプラントの症例口腔外科の症例 治療期間:6ヶ月費用:45万リスク:歯肉の移植範囲が大きい場合には骨移植の必要性もある。初診時歯茎の移植インプラントを予定した部分には時折歯茎が失われる場合が有ります。インプラントを行う前に当院では歯... 続きを読む
親知らずを用いて移植を行った症例 2019.07.17口腔外科の症例 親知らずによって手前の歯が抜歯になったが、その親知らずを用いて移植を行った症例です。治療期間:7ヶ月費用:保険適応リスク:下唇の神経損傷の可能性あり。移植歯がきれいに抜けない場合は移植ができない可能... 続きを読む
親知らずの移植後、歯の根の治療を行った症例 2019.07.17口腔外科の症例 治療期間:7ヶ月費用:保険適応リスク:上顎洞穿孔により鼻血がでる可能性あり。移植歯がくっつかない可能性あり。治療前 治療後 続きを読む
移植によって歯の神経が生き返った症例 2019.07.17口腔外科の症例 口腔内右下の移植によって歯の神経が生き返った症例です。治療期間:6ヶ月費用:1~2万(保険適応)リスク:正着せずに抜歯になる場合あり。親知らずの抜歯に際して神経の損傷の可能性あり。治療前治療後 続きを読む
意図的再植(蓄膿症併発したケース) 2019.07.17口腔外科の症例 治療期間:1年費用:意図的再植6万リスク:感染した歯を戻す戻す意図的再植は、骨に再度歯がくっつかなくてはいけないので、正着しない場合がある。処置後鼻血が出る場合がある。 術前の様子右上の歯の根の... 続きを読む
意図的再植 2019.07.17口腔外科の症例 治療期間:6ヶ月費用:6万~リスク:移植歯の歯根膜の状態により短い期間で抜歯に至る可能性がある。治療前奥歯の違和感で来られました。保険の銀歯を外すと深ーいところまで虫歯が入り込み抜歯をすすめました。... 続きを読む
親知らずの抜歯 2019.07.17口腔外科の症例 親知らずの抜歯例です。CTにて接触が8mmあり、下唇の麻痺の可能性もありますが、手前の歯の当たっている部分が徐々に溶けてきています。抜歯後、手前の歯の揺れなども起こらず骨も回復してきています。費用:1万... 続きを読む
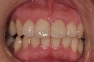
外傷後の矯正(MTM) 2019.07.17口腔外科の症例 外傷後の矯正の例です。(MTM)費用:6万治療期間:5か月リスク説明:歯根が短くなり揺れが残る場合があります。治療中は仮歯でバネを隠しますが硬いものが食べられません。初診時治療中の様子治療完了 続きを読む